تعرف على أسباب التهابات اللثة وأعراضها
يعد الاهتمام بصحة الفم جزء من المحافظة على الصحة العامة، واستخدام فرشاة الأسنان يوميا لا يقوم بالحماية من أمراض الفم فالفم هو المدخل الأول لجميع امراض الجسم حيث يدخل منه معظم البكتيريا والجراثيم.
والحفاظ على صحة الفم يعني والوقاية من العديد من الأمراض، كشف معظم الأشخاص المصابين بالتهابات اللثة عن تجاهلهم للعلامات الأولية لسوء صحة الفم التي أدت إلى ذلك بحسب ما ذكر موقع "onlymyhealth".
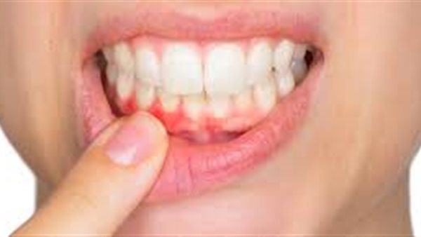
يشرح الدكتور كوشامبي شارما ، أخصائي علاج جذور الأسنان في مستشفى ان التهابات اللثة واحدة من أولى علامات تدهور صحة الفم، يشار إلى التهاب اللثة أيضًا باسم التهاب اللثة، فإذا نزفت اللثة أثناء تنظيف الأسنان بالفرشاة أو الخيط ، فقد يكون ذلك بسبب التهاب.
إلى جانب الالتهاب، قد تعاني أيضًا من تغير لون الأسنان بسبب تراكم البلاك. هذه طبقة من بقايا الطعام والبكتيريا الموجودة على الأسنان.
وتنظيف الأسنان السيئ هو السبب الرئيسي لتراكم البلاك ، لذلك ينصح بالحفاظ على الفم نظيف
أمراض اللثة المبكرة
في المرحلة المبكرة ، تبتعد اللثة عن الأسنان أو تنحسر، قد يتسبب ذلك في تكوين جيوب صغيرة أو فراغات بين اللثة والأسنان، ثم تأوي البكتيريا وبقايا الطعام في هذه الأماكن.
ومن أجل محاربة هذه العدوى، سيتصرف الجهازك المناعي ويسبب تراجعًا في أنسجة اللثة.
قد تعاني من نزيف اللثة مع فقدان بعض العظام أثناء تنظيف الأسنان بالخيط وتنظيف الأسنان بالفرشاة.
التهاب أو التهاب اللثة
المرحلة الأولى من التهاب دواعم السن هي الالتهاب. هذه واحدة من أولى علامات تدهور صحة الفم. يشار إلى التهاب اللثة أيضًا باسم التهاب اللثة. إذا نزفت لثتك أثناء تنظيف الأسنان بالفرشاة أو الخيط ، فقد يكون ذلك بسبب التهاب. إلى جانب الالتهاب ، قد تعاني أيضًا من تغير لون الأسنان بسبب تراكم البلاك. هذه طبقة من بقايا الطعام والبكتيريا الموجودة على الأسنان. تنظيف الأسنان السيئ هو السبب الرئيسي لتراكم البلاك ، لذلك ينصح بالحفاظ على فمك نظيفًا.
أعراض التهاب اللثة أسبابه
فيما يلي بعض أهم أعراض وأسباب التهاب اللثة
- نزيف اللثة
- تورم اللثة
- رائحة الفم الكريهة
- ألم أثناء مضغ الطعام
- فقدان الأسنان
- تغير لون اللثة إلى اللون الأرجواني أو الأحمر الفاتح
- تغير في لون فرشاة الأسنان بعد تفريش الأسنان
- صديد بين اللثة والأسنان
- يتطور الفراغ بين الأسنان
- تصبح اللثة طرية في الطبيعة
- نزيف الأسنان عند تنظيف أسنانك بالخيط
- تغير في شكل الأسنان عندما تبدأ في الظهور لفترة أطول قليلاً من تراجع اللثة
وينصح زيارة طبيب الأسنان بانتظام، وإذا أراد المرء الابتعاد عن أمراض الفم. في حالة ملاحظة أي أعراض أو أسباب، يجب التأكد من تحديد موعد مع الطبيب في أسرع وقت ممكن لتجنب فقدان الأسنان.


