استغرقت 120 دقيقة.. استئصال غدة درقية بالجزء الخلفى من لسان فتاة بمستشفى طنطا الجامعي
أعلن الدكتور محمود ذكى، رئيس جامعة طنطا، نجاح فريق جراحى بقسم الأنف والأذن والحنجرة بمستشفى طنطا الجامعي من استئصال غدة درقية نادر وجودها بالجزء الخلفى من لسان فتاة تبلغ من العمر 35 عاما فى عملية نادرة استغرقت ساعتين.
وأشار رئيس الجامعة إلى أن العملية تم إجراءها بالمجان دون تحمل المريضة لأى نفقات بالقسم الداخلى بقسم الأنف والأذن والحنجرة ، مشيدًا بجهود الفريق الطبي الذي إجراء الجراحة وطاقم التخدير والتمريض.
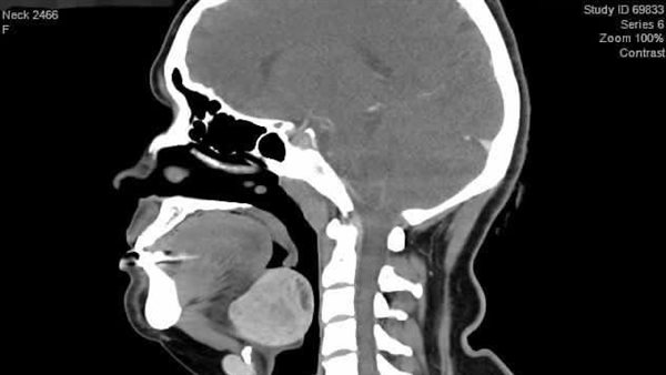
وأوضح الدكتور أحمد غنيم، عميد كلية الطب ورئيس مجلس إدارة المستشفيات الجامعية بطنطا، أن المريضة كانت تعاني من عيب خلقى نادر وهو وجود الغدة الدرقية بالجزء الخلفى من اللسان مما كان يسبب لها صعوبة فى التنفس والبلع والاختناق أثناء النوم.
وأضاف عميد طب طنطا، أن تخدير المريضة كان يمثل تحدياً نظرًا لوجود الغده الذى يماثل حجم البرتقاله فى مجرى التنفس، لكن نجح فريق التخدير بتركيب أنبوب تنفس للمريضه بمنظار القصبة الهوائية بمهاره فائقه دون أن تشعر المريضة بأى ألم، بعدها قام الفريق الجراحى بإستئصال الغده من الفم باستخدام المنظار الجراحى
ضم الفريق الجراحي الدكتور مصطفى عمار أستاذ الأنف والأذن والحنجرة وجراحة الرأس والرقبة، بمساعده الدكتور محمد القاضى والدكتور أحمد هشام و الدكتور سالم أحمد والدكتور حازم عاطف، وبمشاركة فريق لتخدير بقياده د منى بلوغ المراد وبمساعدة الدكتور محمد البحيرى والدكتور عبدالله العربى والدكتورة آيه مصطفى والأطباء المقيمين الدكتور ريهام زكى والدكتور مى حماده والدكتور إيمان عزام.
أفاد الدكتور محمد ناصر الشيخ رئيس قسم الأنف والأذن والحنجرة بطب طنطا، بتوافر الكوادر الطبية ذات الخبرات العالية وروح الفريق إلى جانب الإمكانيات المتطورة والمناظير عالية الدقة بعمليات قسم الأنف والأذن والحنجرة بجامعة طنطا ، بما يسمح بعمل جراحات تخصصية معقده للمرضى بالقسم المجانى بأفضل النتائج وأقل مضاعفات وأقصر فتره تعافى.


