استئصال كيس من عظام الفك السفلي لفتاة بمستشفى جامعة بنها (صور)
نجح فريق جراحة الفم والأسنان بوحدة الأسنان بمستشفى جامعة بنها بقيادة الدكتور سمير حلاوة استشاري جراحة الفم والأسنان، في استئصال كيس من عظام الفك السفلي لفتاة تبلغ من العمر 23 عامًا.
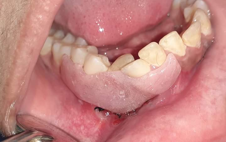
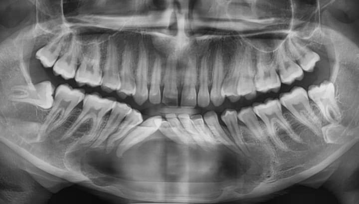
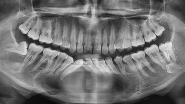
وقال الدكتور سمير حلاوة، إن حجم الكيس كان كبيرًا وممتدًا بعدة تكيسات من منتصف الفك السفلي إلى الجهتين اليمنى واليسرى، حتى منطقة النواجز (premolars)، مما تسبب في إزاحة جذور الأسنان المحيطة، وكان التحدي هو المحافظة على عظام الفك دون الاضطرار لاستئصالها وتعويضها بشريحة معدنية، والحفاظ على الأسنان والضروس المتأثرة.

وأضاف “كان التعاون بين فريق الجراحة وفريق حشو الجذور (حشو العصب)، الذي قام بحشو عصب جميع الأسنان المتأثرة والمحيطة بالكيس، وخلال فترة العلاج تم عمل تسريب وقتي للكيس لتقليل حجمه إلى أصغر صورة ممكنة مع تركيب دعامة أكريلك (obturator) للحفاظ على فتحة التسريب وإمكانية تنظيف وتطهير الفجوة لفترة امتدت أكثر من ستة أشهر، حتى تم استئصال الكيس بنجاح وتحليل أنسجته. وتم ملأ الفراغ العظمي بعظام صناعية مختلطة بعوامل نمو تحفيزية مشتقة من دماء المريضة نفسها تم إعداده داخل الوحدة”.
وأشاد بفريق العمل على ما بذله من جهد، ومنهم الدكتور أحمد يسري الذي قام بحشوات العصب والدكتور السيد فهيم استشاري جراحة الفم والأسنان والدكتور محمد مجدي عبد الموجود.

ووجه الشكر للدكتور عمرو الدخاخنى، المدير التنفيذي للمستشفيات الجامعية بجامعة بنها، والدكتور عمرو توفيق رئيس الوحدة على ما بذل ومازال يبذله من جهد لرفع مستوى العمل بالوحدة وتذليل العقبات لخدمة المرضى ورعايتهم، مشيرا إلى أن نجاح فريق العمل نابع من الدعم المتواصل من قبل الدكتور ناصر الجيزاوي القائم بأعمال رئيس جامعة بنها والدكتور مصطفى القاضي عميد كلية الطب البشري بجامعة بنها.



