لأول مرة في بني سويف..
جراحة طارئة لمريض يعاني انشقاقًا بـ الشريان الأورطي الصاعد في مستشفيات جامعة بني سويف
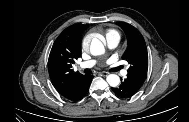
أجرى فريق طبي من قسم جراحة القلب والصدر بكلية طب بني سويف، في حدث فريد من نوعه بقيادة الدكتور جهاد محمد مصطفى استشاري جراحة القلب والصدر، جراحة طارئة لمريض يعاني من انشقاق بالشريان الأورطي الصاعد، وهذه الحالة غاية في الخطورة حيث تتسبب في وفاة المريض خلال ساعات قليلة جدًّا إذا لم يتم إجراء جراحة طارئة له، وهذه خدمة جديدة تقدمها مستشفيات جامعة بني سويف لمرضى المحافظة.
وتعتبر هذه الجراحة غاية في الدقة والخطورة، حيث تم استبدال الصمام الأورطي والشريان الأورطي الصاعد وإعادة زرع الشرايين المغذية للقلب بالشريان الأورطي الصناعي.


تمت الجراحة بواسطة فريق الجراحة والتخدير المكون من، د. جهاد محمد مصطفى، استشاري ومدرس جراحة القلب والصدر، د. أحمد ربيع مدرس التخدير، د. أحمد حسن، د. عبد الله سامي، مدرسين مساعدين لـ جراحة القلب والصدر، د. عبد الرحمن ربيع، د. طلعت، د. حسام، د. حسني، أطباء مقيمون جراحة القلب والصدر، الدكتور محمد فوزي، طبيب مقيم التخدير، والمريض حاليًّا في حالة جيدة ويستعد للخروج من المستشفى بعد أن تم إنقاذ حياته.
يأتي ذلك برعاية الدكتور منصور حسن، رئيس جامعة بني سويف، والدكتور عاطف مرسي عميد كليه الطب، ورئيس مجلس إدارة مستشفيات جامعة بني سويف، والدكتور محمد شعبان المدير التنفيذي لمستشفيات جامعة بني سويف وبإشراف الدكتور أحمد الأشقر رئيس قسم جراحة القلب والصدر.


