أسباب وأعراض الحمل العنقودي الخطير وموعد ظهوره بالسونار
الحمل العنقودي واحد من المضاعفات الصحية المحتمل حدوثها للحامل عند إخصاب البويضة مثله مثل الحمل خارج الرحم له الكثير من الأضرار والمخاطر، فهو ورم حميد يصيب المرأة داخل الرحم عندما تتطور المشيمة بشكل خاطئ لا يؤدي إلى حمل سليم، وبالتالي سيكون الإجهاض هو مصيره المحتم.
الحمل العنقودي
يختلف الحمل العنقودي عن الحمل الطبيعي وعن الحمل خارج الرحم أيضًا، فهو يشير إلى ورم حميد يمكن تحوله إلى ورم سرطاني خبيث، ولذلك يحتاج الحمل العنقودي إلى علاج طبي عاجل واكتشاف مبكر لمراحل نمو المشيمة وهي المسؤولة عن إيصال الغذاء والدم المحمل بالأكسجين إلى الجنين الموجود داخل الرحم.
يشير الحمل العنقودي إلى عدم وجود أنسجة مشيمية سليمة أو حتى وجود جنين وهو ما يطلق عليه الحمل العنقودي الكامل، أما الحمل العنقودي الجزئي يحتوي على القليل من أنسجة المشيمة السليمة إضافةً إلى أنسجة جنين غير سليمة وبالتالي لن يحدث نمو لجنين متكامل ويحدث الحمل العنقودي لوجود خلل في تصبيغ الكروموسومات المسؤولة عن تكوين المشيمة والجنين اثناء عملية انقسام البويضة الملقحة.

الحمل العنقودي سببه الرجل
الحمل العنقودي سببه الرجل عن غير عمد، وهو ما يتضح من خلال الآتي:
الحمل الطبيعي
في الحمل الطبيعي يتم تخصيب بويضة المرأة التي تحتوي على 23 كروموسوم بحيوان منوي واحد من الزوج يحتوي على 23 كروموسوم وتصبح النتيجة بويضة مخصبة تحتوي على 46 كروموسوم.
الحمل العنقودي الكامل
ولكن في حالة الحمل العنقودي سيكون مصدر كل كروموسومات البويضة المخصبة هو الرجل، وبالتالي سيكون هناك فقدان كامل لكروموسومات الأم لأن التلقيح حدث لبويضة فارغة، ويطلق على هذه الحالة الحمل العنقودي الكامل.
الحمل العنقودي الجزئي
أما في حالة الحمل العنقودي الجزئي لن تفقد البويضة كروموسومات الأم ولكنها ستحصل على عد مضاعف من كروموسومات الأب، وبالتالي يكون مجموع الكروموسومات في البويضة الملقحة 69 صبغيا، وهو ما يحدث عندما يتم تلقيح البويضة بحيوانين منويين مختلفين.
أعراض الحمل العنقودي
تتمثل أعراض الحمل العنقودي في الآتي:
- النزيف المهبلي المستمر باللون البني أو الأحمر ويكون مصحوبا بأنسجة.
- آلام الحوض والبطن.
- غثيان وقيء مستمر.
- خروج كيس من المهبل.
- ارتفاع ضغط الدم.
- الإصابة بالأنيميا.
- الإصابة بالإسهال.

متى يظهر الحمل العنقودي بالسونار
إذا ما كنتِ تتساءلين متى يظهر الحمل العنقودي بالسونار فلا بد من التنويه بأن موعد ظهوره يعتمد على نوعه، أي أن الحمل العنقودي الجزئي يظهر بالسونار بدايًة من الأسبوع العاشر وحتى الأسبوع الرابع عشر، بينما الحمل العنقودي الكامل يمكن اكتشافه مبكرا بالسونار في الأسبوع الثامن أو التاسع من الحمل.
اختفاء نبض الجنين علامة على الإصابة بالحمل العنقودي ففي حال الحمل الطبيعي السليم يظهر نبض الجنين في الأسبوع السابع، أما في حال الحمل العنقودي يتأخر النبض حتى الأسبوع الـ 12 من الحمل دون ظهور، وفي هذه الحالة يمكن إجراء اختبار للكشف هرمون الحمل في الدم والتي تكون بنسب مرتفعة للغاية في الحمل العنقودي.
مع العلم أن الحمل العنقودي الجزئي يظهر بالسونار على هذا الشكل:
- الحمل العنقودي الجزئي يكون فيه حجم المشيمة متضخم عن حجم الرحم.
- السائل الأمينوسي المحيط بالجنين قليل جدا يكاد يكون منعدم.
- ينعدم معدل نمو الجنين في الحمل العنقودي الجزئي.
أما الحمل العنقودي الكلي يتم اكتشافه كالتالي:
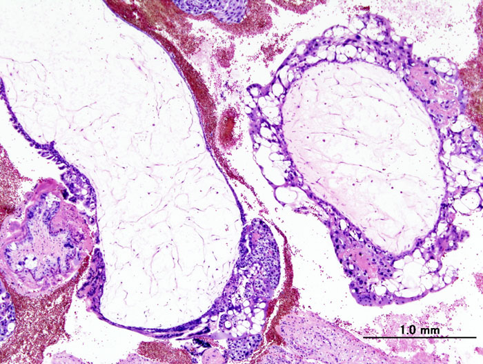
- وجود حويصلات صغيرة مليئة بالسوائل داخل الرحم وتشبه شكل عنقود العنب.
- تظهر تكيسات على المبايض أثناء الرؤية بالموجات فوق الصوتية.
- لا توجد مشيمة أو جنين أو حتى السائل الأمينوسي.

هل الحمل العنقودي خطير
الحمل العنقودي من الحالات الخطيرة جدًا والتي قد ينتج عنها في النهاية استئصال الرحم لدى المرأة وعدم قدرتها على الإنجاب، كما أنه يتسبب في حدوث نزيف شديد مهدد للحياة، وربما يتسبب الحمل العنقودي في حدوث ثقب بالرحم أثناء عملية إخراج أنسجة المشيمة، وفي حالات نادرة تصاب المرأة بـ تسمم الحمل نتيجة ارتفاع ضغط الدم الأساسي للحمل العنقودي.
وينبغي التنويه بأنه في بعض الحالات قد تستمر بعض الأنسجة المشيمية في النمو حتى بعد استئصالها من الرحم، وهو ما يمكن ملاحظته بظهور هرمون الحمل في الدم بنسب مرتفعة مع تعرض المرأة لنزيف مهبلي يشير إلى اختراق هذه الأنسجة لجدار الرحم، وفي هذه الحالة قد يضطر الأطباء لإعطاء المرأة العلاج الكيميائي حتى لا تصاب بالسرطان وتتفشى هذه الأنسجة لأعضاء أخرى من الجسم.


