تحتاج عملية زراعة رئة.. سيدة تستغيث بالمسؤولين لإنقاذ ابنتها المصابة بورم نادر
وجهت والدة الدكتورة سارة أحمد محمود، المصابة بمرض الورم العضلي اللمفي "LAM"، استغاثة للرئيس عبدالفتاح السيسي والمسؤولين لعلاج ابنتها، بعد صراع سنوات عديدة مع المرض، والعلاج الوحيد هو إجراء عملية زراعة رئة.
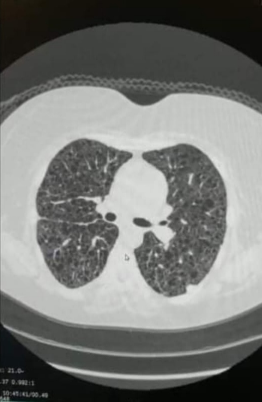
معاناة سارة مع المرض
وقالت نجوى عبد اللطيف والدة المريضة في تصريحات خاصة لـ القاهرة 24: اكتشفنا المرض منذ 9 سنوات عندما بدأت حالة ابنتي تتدهور تدريجيا وإحساس كالسكاكين بالصدر، والذي كان نتيجة انفجار تكيسات الرئة ولم نكن نعلم، فلم يتم التشخيص إلا بعد انثقاب الرئتين، ومع الفحص تبين أنها مصابة باسترواح بالصدر الأيسر مع انصباب بلوري لمفاوي متكرر.
مرض نادر
وتابعت: هذا المرض – الورم العضلي اللمفي - نادر جدا ينتج عن حدوث طفرة في جينات TSC1 أوTSC2 مما يسبب تورما عضليا أملس في الرئتين مع فشل مزمن بالجهاز التنفسي، نسبة انتشار المرض ضئيلة جدا تقريبا 4:3 حالات لكل مليون أنثى.
وأوضحت عبداللطيف: بنتي في المرحلة الأخيرة من المرض. حيث يبلغ متوسط العمر المتوقع بعد تشخيصها من 8-10 سنوات ولكن توضح تقارير أخرى امتداد فترة البقاء على قيد الحياة لـ20 عاما، وهي الآن أسيرة سرير بالمستشفى منذ 3 سنوات، فقد ظلت حالتها تتدهور حتى أصيبت بفشل رئوي، فالرئة تعمل حاليا بنسبة 10% فقط.
وأضافت: بنتي اتحرمت من كل حاجة، سارة كانت دكتورة ناجحة، نفسها تقدر تقف على رجلها تاني ومستعدة لكل المساعدات"، هذا المرض أفقدها الحياة العملية والاجتماعية فقد أصبحت ملازمة للفراش لعدم قدرتها على الحركة، وحاجتها الدائمة للأكسجين على مدار الـ24 ساعة، فتبدأ حاجتها للأكسجين من 5 لتر وتصل لـ 15 لتر.
الحرمان من الزواج
وتضيف والدة البنت المصابة: كما حرمها ذاك المرض نعمة الزواج والإنجاب، فأكد الأطباء أن خطورة الحمل عليها تصل للموت، فالإنجاب الذي هو حلم كل إمرأة أصبح يمثل الموت بالنسبة إليها.
وقالت: شدد الأطباء أنه لم يعد هناك حل سوى إجراء عملية زراعة رئتين كاملتين، فهذا المرض لا يجوز ترك بقايا منه بالجسم، ولذلك فتكلفة العملية باهظة تصل لـ مليون دولار، فهذه العملية لايتم إجرائها بمصر لذا تحتاج لإجرائها بالخارج.
واستغاثت عبد اللطيف بالمسؤولين مرة أخرى لإنقاذ ابنتها في أسرع وقت: حاولنا التواصل مع المسؤولين ولم نستطع، نتمنى أن يصل صوتنا للمسؤولين، أريد أن تتعافى ابنتي وأن أراها بخير مرة أخرى، فهي تعايش شعور الموت كل لحظة، ورغم ذلك تحاول أن تحيا، ولكننا نخشى أن يتطور هذا المرض ويتحول لسرطان.


