العلماء يكتشفون أسباب الصداع النصفي في دراسة حديثة
اكتشف العلماء أخيرًا؛ اللغز المسبب لـ الصداع النصفي، وذلك عن طريق استخدام التصوير بالرنين المغناطيسي فائق الدقة.
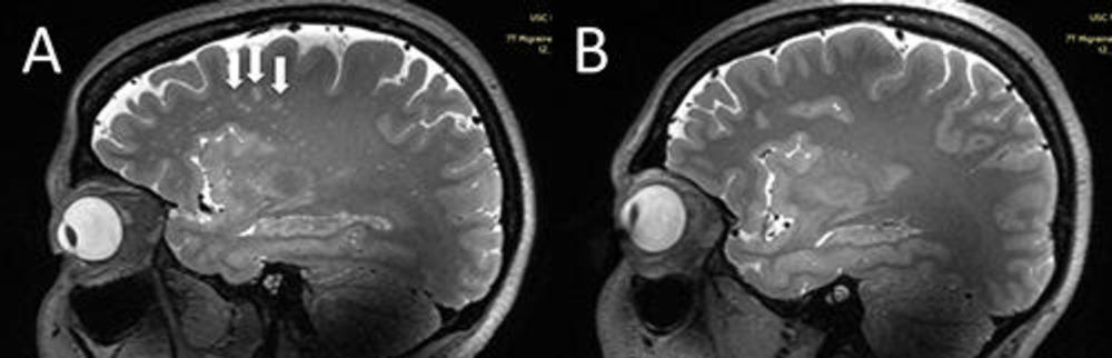
ووجد الباحثون، أن المساحات المحيطة بالأوعية الدموية في الدماغ، هي المليئة بالسوائل حول الأوعية، وتتضخم بشكل غير عادي في المرضى الذين يعانون من الصداع النصفي المزمن والعرضي، وذلك وفقًا لبحث قدم في جمعية الطب الإشعاعي في أمريكا الشمالية.
يقول عالم الطب ويلسون شو، من جامعة جنوب كاليفورنيا في لوس أنجلوس: الأشخاص الذين يعانون من الصداع النصفي المزمن والصداع النصفي العرضي؛ يوجد عندهم تغيرات كبيرة في المساحات المحيطة بالأوعية في منطقة دماغية تسمى centrum semovale، وهي المنطقة المركزية للمادة البيضاء في الدماغ الواقعة مباشرة - أسفل القشرة الدماغية، ووظيفة هذه المساحات ليست مفهومة تمامًا، كما لم يتم الوصول إلى هذه التغييرات من قبل.
الصداع النصفي
يؤثر الصداع النصفي على 10% من سكان العالم، أي نحو 148 مليون شخص، ويعد جحيمًًا يعاني منه المصاب، وذلك بسبب أعراضه شديدة الألم التي تتمثل في، آلام في الرأس، الدوار وضعف البصر المؤقت، والحساسية للضوء والغثيان إلى درجة القيء، كما أنه غير معروف ما الذي يسبب الصداع النصفي، ولا يوجد علاجًا محددًا له، وفي كثير من الحالات لا تستجيب الحالة للعلاج الأعراض التي تظهر بسببه، حسب الدراسة.
يذكر عالم الطب، أن الفراغات المحيطة بالأوعية، هي جزء من نظام تصفية السوائل في الدماغ، ودراسة كيفية مُساهمتها في الصداع النصفي؛يمكن أن تساعدنا على فهم تعقيدات كيفية حدوث الصداع النصفي بشكل أفضل.


نتائح الدراسة التي قام بها العلماء
ووظّف شو وزملاؤه نحو 20 مريضًا؛ تتراوح أعمارهم بين 25 و60 عامًا يعانون من الصداع النصفي - 10 يعانون من الصداع النصفي المزمن بدون ارتباطه بمرض، و10 يعانون من الصداع النصفي العرضي، بالإضافة إلى ذلك تم تضمين 5 مرضى أصحاء لا يعانون من الصداع النصفي كمجموعة ضابطة.
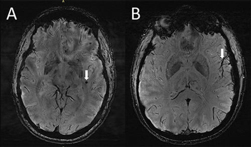
وكشفت عمليات المسح، أن المساحات المحيطة بالأوعية الدموية في المنطقة الوسطى للمرضى الذين يعانون من الصداع النصفي؛ قد اتسعت بشكل ملحوظ مقارنة بالمجموعة الضابطة.
وجد الباحثون أيضًا اختلافًا في توزيع نوع من الآفات المعروفة باسم فرط كثافة المادة البيضاء في مرضى الصداع النصفي، تحدث هذه بسبب بقع صغيرة من الأنسجة الميتة أو الميتة جزئيًا والتي تتضور جوعًا بسبب انخفاض تدفق الدم، وهي طبيعية جدًا.
يعتقد الباحثون، أن هذا يشير إلى أن توسيع المساحات المحيطة بالأوعية الدموية؛ يمكن أن يؤدي إلى تطور مستقبلي لمزيد من آفات المادة البيضاء.
ورغم أن طبيعة العلاقة بين تضخم المساحات المحيطة بالأوعية الدموية والصداع النصفي غير واضحة، فإن النتائج تشير إلى أن الصداع النصفي يأتي مع مشكلة في أنابيب الدماغ الجهاز الليمفاوي المسؤول عن التخلص من النفايات في الدماغ والجهاز العصبي، ويستخدم قنوات حول الأوعية الدموية للنقل.
وفي النهاية، يمكن أن يساعدنا هذا في تطوير طرق جديدة ومُخصصة لتشخيص وعلاج الصداع النصفي.


