فريق طبي بمستشفى بنها الجامعي يُجري عملية تصليح قفص صدري لشاب
نجح فريق طبي بقسم جراحة القلب والصدر بمستشفى بنها الجامعي بمحافظة القليوبية، بقيادة الدكتور إبراهيم قصب رئيس القسم، في إجراء عملية تصليح القفص الصدري لمريض يبلغ من العمر 16 عاما، كان يعاني من تحدب في عظمة القص "صدر الحمامة".
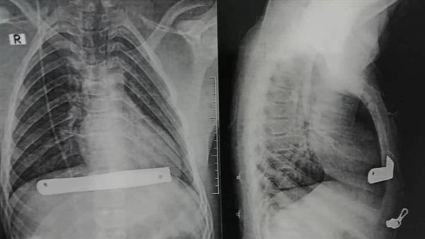
واستطاع الفريق الطبي إصلاح التحدب واستئصال جزء من عظمة القص وغضاريف الضلوع الأمامية وتركيب بار معدني مؤقت لإعادة تنظيم عظمة القص ليكون نمو غضاريف الضلوع الجديدة في مستوى واحد.
إجراء عملية دقيقة لشاب
وأكد الدكتور إبراهيم قصب رئيس قسم جراحة القلب والصدر بمستشفى بنها الجامعي، أن الفريق الجراحي تمكن من إجراء عملية تصليح القفص الصدري لمريض يبلغ من العمر 16 سنة، ويعاني من تحدب في عظمة القص "صدر الحمامة"، مضيفا: نظرا لتنمر أقرانه عليه منذ فترة طويلة، تم بحمد الله إصلاح التحدب واستئصال جزء من عظمة القص وغضاريف الضلوع الأمامية.
وأضاف أنه تم خلال الجراحة تركيب بار معدني مؤقت لإعادة تنظيم عظمة القص ليكون نمو غضاريف الضلوع الجديدة في مستوى واحد بعد ذلك، وتمت الجراحة بجرح تجميلي بسيط 5 سم فقط، وحاليا خرج المريض بنجاح ويتماثل للشفاء الآن بالعناية المركزة الخاصة بالقسم.
جراحة بمستشفى بنها الجامعي
وأوضحت مستشفى بنها الجامعي، في بيان لها، أن فريق الجراحة يتكون من الدكتور إبراهيم قصب أستاذ ورئيس القسم، والدكتور أشرف النحاس الأستاذ المساعد بالقسم، والدكتورة نهي هلال المدرس بالقسم، بالإضافة إلى الدكتور أحمد أبو الغيط، والدكتورة أسماء فتح الباب المدرسين بقسم التخدير.
كما قدمت إدارة المستشفى الشكر لفريق العمل بالقسم والعناية المركزة من الأطباء المقيمين والمدرسين المساعدين وأعضاء فريق التمريض.


