يعالج لأول مرة.. شفاء فتاة بعد تشخيصها في المرحلة الرابعة من السرطان
يعرف سرطان الغدد اللمفومة اللاهودجكينية على أنه أحد الأورام السرطانية العدوانية، والتي تندرج تحت قائمة الأنواع الأكثر فتكًا، وتصيب الجهاز الليمفاوي، المسؤول عن مكافحة أشكال العدوى والجراثيم في الجسم، وتؤدي تلك الحالة إلى نمو خلايا الدم البيضاء بشكل غير طبيعي في أجزاء مختلفة من الجسم، وهناك العديد من أنواع سرطان الغدد اللمفاوية ومنها لمفومة الخلايا البائية الكبيرة.
أعراض الإصابة بسرطان الغدد اللمفومة
تتضمن الأعراض والعلامات التي تشير إلى خطر الإصابة باللمفومة اللاهودجكينية الأعراض التالية:
• تورم الغدد اللمفية في الرقبة والإبط.
• الشعور بالألم والامتلاء في المبطن.
• الشعور بألم الصدر والسعال الحاد.
• صعوبات التنفس وضيق الصدر.
• الإرهاق والتعب المستمر والتعرق الليلي.
• الإصابة بالحمى ونقصان الوزن غير المبرر.
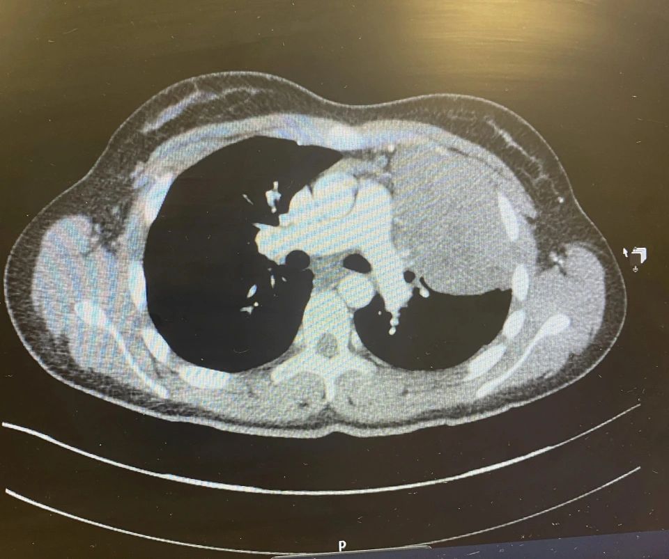
حالة إصابة بسرطان الغدد اللمفومة
وأصيبت هانا بيرد، البالغة من العمر 24 عامًا، بسرطان عدواني بعد مواجهة الأطباء صعوبة في تشخيصها عدة مرات، حيث أبلغت بيرد عن بعض الأعراض التي تعاني منها لمدة 6 أشهر، مثل التعرق الليلي وفقدان الوزن والطفح الجلدي، وذلك بعد ذهابها للطبيب حوالي 3 مرات في الأسبوع الواحد، وذلك وفقًا لما نشر بصحيفة ذا صن البريطانية.
ومع تفاقم الأعراض وظهور علامات جديدة مثل ألم الظهر والصدر، طلب منها الطبيب الخضوع للآشعة السينية، ومن خلال الخضوع لإجراءات الكشف والفحوصات الطبية، تبين أنها مصابة بسرطان الغدد الليمفاوية كبير الخلايا البائية والذي يؤثر على الجهاز المناعي، بالإضافة إلى وصول الخلايا السرطانية إلى ثلاثة أرباع رئتها، وأخبرها الطبيب المعالج أنها في المرحلة الرابعة من الورم وهذا ما يعني انتشاره إلى أجزاء أخرى من الجسم.
وتضمنت الخطة العلاجية المستخدمة في علاج هانا الخضوع لتجربة سريرية تحتوي على دواء مناعي غير جراحي أو كيميائي، حيث يعمل هذا الدواء على مساعدة الجهاز المناعي في التعرف على الخلايا السرطانية ومهاجمتها، وبالفعل تقلص حجم الورم بنسبة 80%، وبحلول سبتمبر 2022 انتهت هانا من إجراءات العلاج واختفى السرطان، ووصف الأطباء حالة هانا بالمعجزة الطبية، وخاصة أنه تم تشخيصها بالمرحلة الرابعة من أخطر أنواع السرطان، كما أنها تعد الحالة الوحيدة التي أصيبت بهذا المرض في المملكة المتحدة.


