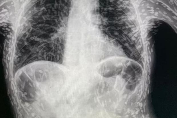
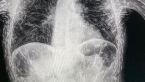
أشعة سينية تكشف حالة صادمة لمريض مصاب بالديدان الشريطية
أصيب رجل بسعال شديد وعند ذهابه إلى المستشفى، فوجئ الأطباء بصور الأشعة السينية؛ حيث وجدوا أن الديدان الشريطية تملأ أنسجة وعضلات الرجل، وذلك وفقًا لذا صن البريطانية.

أشعة سينية تكشف حالة صادمة لمريض مصاب بالديدان الشريطية
كشفت الأشعة السينية، التي شاركها طبيب على تويتر، عن مئات النقاط مضيئة التي تشير إلى بقايا متكلسة لطفيلي، وتحدث هذه الحالة المسماة داء الكيسات المذنبة، عندما تدخل يرقات أحد أنواع الدودة الشريطية؛ التي تعيش عادةً في الأمعاء، إلى أنسجة مثل العضلات أو الدماغ.
يصاب البشر بهذه الحالة عن طريق تناول الطعام الملوث عن طريق الخطأ واللحوم عادة، تشكل اليرقات نتوءات صلبة مثل الأكياس التي يمكن الشعور بها من خلال الجلد، وعادة ما تكون الحالة غير ضارة، حيث تموت الديدان بسرعة.
أعراض الإصابة بالديدان الشريطية عند الإنسان
عادة ما تسبب الديدان الشريطية المعوية أعراضًا معتدلة في الجهاز الهضمي والتي قد تشمل:
- الجوع
- فقدان الشهية
- غثيان
- تعب
- تقلصات المعدة
- إسهال
غالبًا لا تسبب عدوى اليرقات الكيسية أي أعراض، ولكن قد تكون مرئية على شكل كتل تحت الجلد، أو قد تتسبب في حدوث مضاعفات لأعضائك الداخلية، وهذا عادة ما يستغرق سنوات.
وفي الشهر الماضي توفي مراهق بعد أن وصلت عدوى الدودة الشريطية إلى دماغه وتركته فاقدًا للوعي، وكان الشاب البالغ من العمر 18 عامًا يعاني من نوبات ألم عنيفة وكان يشكو أيضًا من ألم في الفخذ خلال الأسبوع السابق قبل الذهاب إلى الأطباء، وبعد إجراء الفحوصات وجدوا أكياسًا طفيلية مدفونة في الطبقة الخارجية من دماغه.


