مصاب بـ الفصام النفسي.. رجل يخضع لجراحة طارئة بعد ابتلاعه عصا تهيأ له أن أصوات داخل رأسه تطلب ذلك
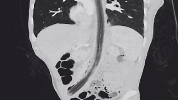
خضع رجل لجراحة عاجلة، لإزالة عصا بطول قدم من المريء، وذلك بعد أن طُلب منه أن يبتلعها من خلال أصوات في رأسه، وفقًا لـ صحيفة ديلي ميل البريطانية.
وصل رجل يبلغ من العمر 52 عامًا، إلى مستشفى في جواتيمالا بعد حوالي يوم من تناول العصا، حيث كان يشكو من آلام شديدة في المعدة، وبعد الفحص تبين للأطباء الجزء العلوي من العصا يخرج من المريء.
مرض الفصام النفسي
وأشارت التقارير إلى أن الرجل مصاب كذلك بمرض الفصام النفسي، والذي يمكن أن يسبب الهلوسة ومشاكل في السلوك، وبعد ابتلاعه العصا، كشفوا عن وجود شظايا تحفر في جوانب الأنبوب، كانت نهاية العصا تعمل أيضًا على إحداث فجوات في أسفل بطنه.
وبعد فشل محاولة سحب العصا من خلال حلقه، أزالها الأطباء جراحيًا عن طريق ثقب في معدة المريض، ثم تم تشخيص الرجل لاحقًا بأنه مصاب بالفصام، وهو اضطراب عقلي يمكن أن يؤدي إلى اضطرابات المزاج والسلوك والهلوسة.
واكتشف الأطباء بعد إزالة العصا، أنها كانت بطول قدم وعرضها حوالي 0.8 بوصة، وفحصوا كذلك الأضرار التي لحقت بالأعضاء الأخرى ولكنهم لم يكتشفوا أي تلف في القصبة الهوائية أو ثقب في الأعضاء الأخرى، مثل الكبد.
وبحسب الصحيفة، لم يتعرض المريض لأضرار طويلة المدى من الحادث، ولكن تم إرساله لتقييم الصحة العقلية.


