أدخلها والداها لقتلها..عجوز تكتشف إبرة 3 سم في دماغها بروسيا
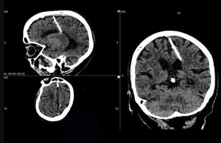
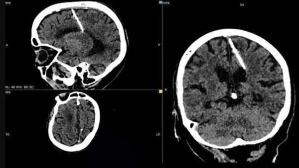
كشفت الآشعة المقطعية لعجوز بالغة من العمر 80 عامًا، من منطقة سخالين الروسية، أن لديها إبرة معدنية مقاس 3 سم مغروزة في الجانب الأيسر من دماغها.
لمحاولة قتلها
ووفقًا لـ odditycentral، نشرت وزارة الصحة في سخالين مؤخرًا صورًا لنتائج الآشعة المقطعية للمرأة، مع تفسير صادم، حيث يعتقد الأطباء أن الإبرة تم إدخالها إلى دماغها من قبل والديها، بعد وقت قصير من ولادتها، وبقدر ما يبدو ذلك صادما، فإن مثل هذه الممارسات كانت شائعة في روسيا التي مزقتها الحرب.

كان الآباء الذين لم يتمكنوا من رعاية أطفالهم في ظروف الحرب الصعبة، يقومون بإدخال إبر رفيعة في دماغهم من خلال اليافوخ -الفجوة في الجمجمة التي تنغلق تدريجيًا مع نمو الطفل - لقتلهم ولم تترك هذه الطريقة أي أثر، حيث انغلق اليافوخ بسرعة، ولم يترك أي دليل على سلاح الجريمة.
وكتبت وزارة الصحة الإقليمية في بيان: مثل هذه الحالات خلال سنوات المجاعة لم تكن غير شائعة، حيث يتم إدخال إبرة رفيعة في اليافوخ لدى الطفل، مما أدى إلى تلف الدماغ، وينغلق اليافوخ بسرعة ليخفي آثار الجريمة ويموت الطفل.
من غير الواضح كيف نجت المرأة البالغة من العمر 80 عامًا من محاولة قتل والديها، ربما اعتبروا نجاتها معجزة وقرروا أنها كانت كذلك ولكن الأمر الأكثر لفتًا للانتباه هو حقيقة أنها لم تعان أبدًا من صداع شديد، بسبب وجود جسم غريب في دماغها، لولا الآشعة المقطعية الأخيرة، لم تكن لتعرف بوجودها هناك.
وقال الأطباء إن التدخل الجراحي لإزالة الإبرة المعدنية لن يؤدي إلا إلى تعريض المريضة للخطر، نظرا لتقدمها في السن، وخلصوا إلى أن الإبرة لا تشكل خطرا على صحتها وأنها ستستمر في حياتها كما كانت من قبل، وستبقى تحت إشراف طبيبها.


