علاج خراج الأسنان.. استشر طبيبك أولا وابتعد عن الطب البديل
آلام الأسنان يعد من أبشع الآلام التي يتعرض لها الشخص، الأمر الذي يجعل البعض بالبحث عن علاج خراج الاسنان، فهو يكون ناتجا عن تكون بكتيريا في الفم، تقوم بالتهاب اللثة والأسنان، ويلجأ الطبيب أما لفتح الخراج وتنظيف الفم مع خلع الضرس، أو أنه يصف مضاد حيوي من أجل عمل حشو في الضرس، ويقوم بتنظيف القناة الجذرية.
علاج خراج الأسنان
ونقدم في السطور التالية علاج خراج الأسنان، فإن الأطباء يقدمون إرشادات حول طريقة تعامل مع خراج الأسنان والذي يكون كالتالي:
- يفتح الطبيب الخراج ويتم تصريفه وذلك من خلال عمل شقا صغيرة ويقوم بعدها بغسل الأسنان جيدا.
- أو أنه يقوم بعمل قناة في الجذور تساعد على التخلص من العدوى، حيث يقوم الطبيب بإزالة النسيج المركزي المصاب ومن ثم يتخلص من الخراج، وبعدها يقوم بالحشو.
- وقد يلجأ إلى خلع الأسنان المتضررة.
- وربما يصف مضاد حيوي يساهم في صرف الخراج وعدم انتقاله إلى باقي الفم.

كيف افقع خراج الأسنان
تعد آلام الأسنان نتيجة الإصابة بالخراج، من أشد أنواع الآلام، وربما يتساءل البعض عن كيف افقع خراج الأسنان، وفي هذا الإطار يكون الحل هو خلع السن وذلك في حالة عدم الاستجابة إلى المضادات الحيوية، حيث يكون هذا هو الحل الأخير من أجل الحفاظ على باقي الأسنان، مع العلم أن هناك العديد من الإجراءات التي يقوم بها الطبيب والتي تكون كالآتي:
- يقوم الطبيب بعد خلع السن أو الضرس بتنظيف الفم جيدا.
- الهدف من تنظيف الفم هو منع انتشار العدوى إلى باقي الأسنان
- يجب على المريض بعد إجراء الخلع أن يقوم على مدار اليوم بالغرغرة بالماء والملح
- يصف الطبيب مضاد للالتهابات وذلك للتخفيف من حدة الآلام.
- بالإضافة إلى أن الطبيب يصف مسكن قوي يساعد على تسكين الآلام.
وعادة يلجأ الطبيب قبل فقع الخراج إلى وصف مضادات حيوية، حتى يتسنى له في الزيارة المقبلة أن يقوم بعمل تنظيف قناة الجذر والأعصاب، ومن ثم يقوم بحشو الضرس عصب، كما يقوم بتركيب طربوش فوق الضرس لحمايته من أي مشاكل مستقبليه.
علاج خراج الأسنان بالمضاد الحيوي
والآن ربما يتساءل البعض عن علاج خراج الأسنان بالمضاد الحيوي، وفي هذا الإطار يصف الطبيب مضاد حيوي موضعي، وذلك كي يتدخل فيما بعد أما بالتدخل الجراحي أو تنظيف القناة، مع ضرورة العلم أن الطبيب هو من يصف نوع المضاد الحيوي الذي يحتاجه المريض، حيث يستهدف الوقاية من انتشار البكتيريا في باقي الجسم، أو في حالة كان المريض يعاني من ضعف المناعة.

مدة شفاء خراج الأسنان
وعن مدة شفاء خراج الأسنان، فإنه عادة يستغرق حوالي 14 يوما حتى يشفى تماما، مع العلم أن الخراج لا يتم الزوال من تلقاء نفسه، بل يحتاج إلى إجراء جراحة أو فقع الخراج، فهو يحتاج إلى وقت كي يتم التخلص منه بشكل نهائي، مع العلم أن الجرح يبدأ في الالتئام بشكل كامل بعد مرور حوالي 3 أسابيع، وإذا كنت تريد معرفة كيف تعلم أن الخراج وصل إلى عظام الأسنان، فهذا يكون له أعراض مميزة تكون كالآتي:
- يكون هناك آلام شديدة في الأسنان ومستمرة لفترة طويلة
- كما تصل الآلام إلى الأذن
- مع ارتفاع درجة حرارة الجسم
- وأيضا عدم القدرة على الضغط أو المضغ.
- تصل حدة الآلام إلى منطقة الرقبة والفك.

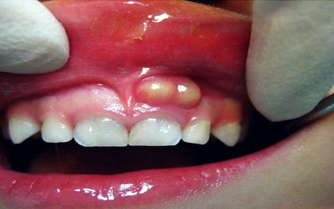
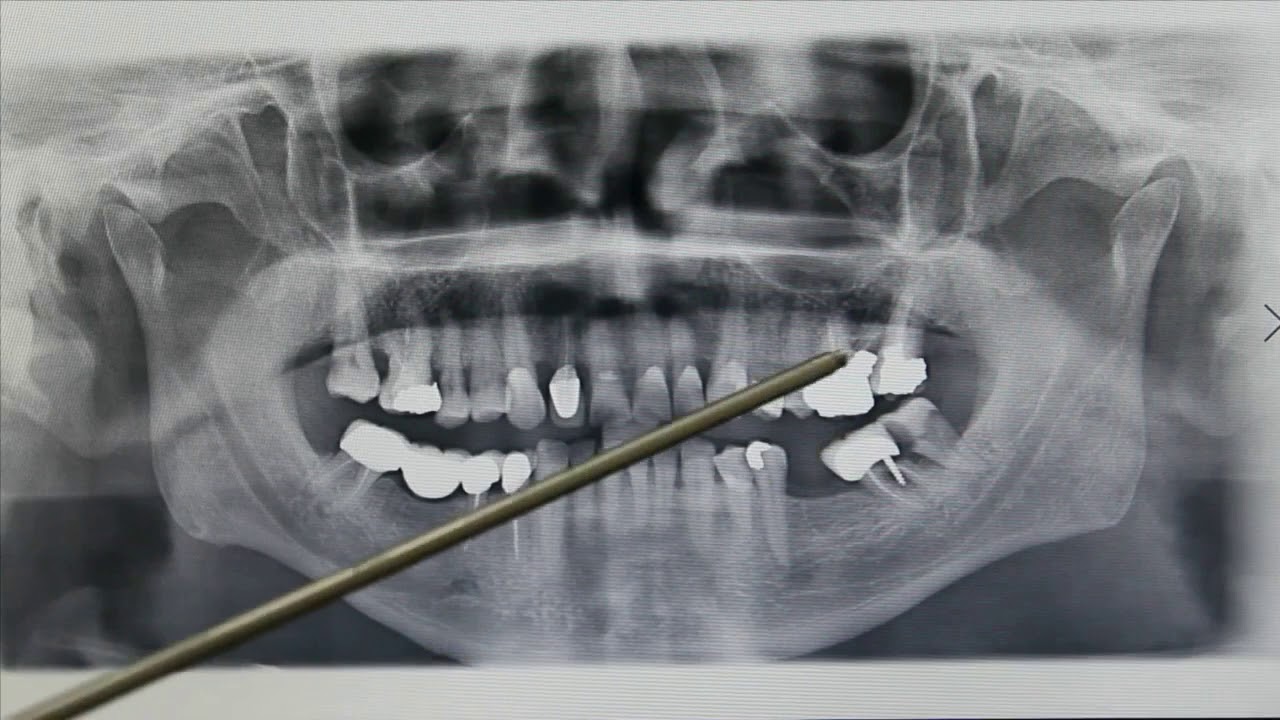
شكل خراج الأسنان في الأشعة
وفيما يخص شكل خراج الأسنان في الأشعة، فإنه يكون هناك بؤرة غامقة في الضرس تظهر في الأشعة السينية التي يجريها الطبيب قبل التدخل بوصف الدواء أو الجراحة، كما يحدد الطبيب من خلال الأشعة مدى انتشار الخراج في الأسنان المجاورة، وهناك مؤشرات تكشف أن المريض يعاني من خراج تكون كالآتي:
- يكون هناك تورم في الوجه في أحد الجانبين
- عدم القدرة على المضغ أو تناول الطعام
- صداع شديد في الرأس يمتد إلى الأذن
- كما يكون هناك ألم شديد غير محتمل.


علاج خراج اللثة بالطب البديل
يجب أن ننوه أن علاج خراج اللثة بالطب البديل، ربما يكون خطر على صحة الأسنان، ولكن هناك من يتبع نظام وضع الثوم المهروس على اللثة لمدة ساعة من أجل التخلص من الخراج، وأيضا هناك من يقوم بهرس الثوم بواسطة الأسنان بشكل مباشر من أجل تسكين الآلام، ولكن يجب الحذر فربما يزيد من حدة الآلام، فيجب على المريض الذهاب إلى الطبيب من أجل الكشف عن الأسنان، ووصف الطريقة المناسبة للعلاج.
- يمكن للمريض أن يغرغر بالماء والملح فهو يساعد على تهدئة الآلام،
- كما يمكن أخذ أقراص مسكن بحد أقصى قرص كل 3 ساعات.
- يجب العلم أن الإفراط في تناول المسكن يعد خطر للغاية.
علاج خراج الضرس في البيت
ربما يبحث البعض عن علاج خراج الضرس في البيت، فهناك العديد من الوسائل الطبيعية التي يلجأ إليها المريض حتى يقوم بزيارة طبيب الأسنان، ومن ضمن هذه الوسائل ما يلي:
- وضع زيت القرنفل على مكان الملتهب في الأسنان.
- كما يتم المضمضة بالماء والملح فهو يساعد على التخلص من البكتيريا والصديد.
- ويمكن وضع حبوب القرنفل على الضرس مع الضغط عليها جيدا لمدة 15 دقيقة
- ويمكن وضع فص ثوم على المكان المصاب فهو يساعد على تسكين الآلم
- يجب العلم أن الخراج يحتاج إلى الطبيب حتى يصف المضاد الحيوي أو فتح الخراج وتنظيف الفم جيدا.


