كان هيموت.. تسجيل أول حالة تمزق في القصبة الهوائية لشخص بسبب كتم العطس
أبلغ الأطباء البريطانيون، عن أول حالة موثقة لعطس خانق يودي إلى إصابة يمكن أن تهدد الحياة، بعد إصابة شاب لديه تاريخ من الحساسية بتمزق خطير في قصبته الهوائية بعد محاولته حبس العطس، وفقًا لـ ديلي ميل البريطانية.
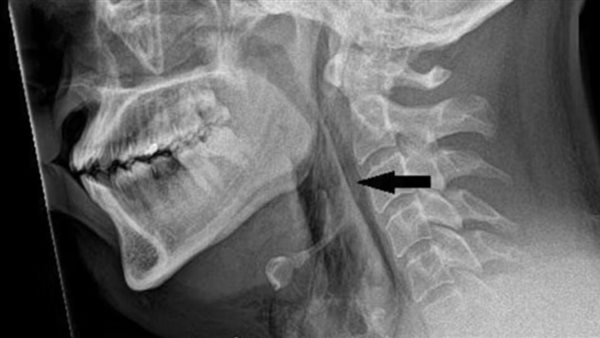
تمزق في القصبة الهوائية بسبب العطس
أوضح الخبراء، أن كتم العطس المنعكس عن طريق إغلاق الأنف والفم تسبب في خروج الهواء المضغوط إلى أنسجة رقبة الرجل وصدره، مما أدى إلى تمزيق الأنسجة الحساسة، يحدث تمزق القصبة الهوائية بشكل أكثر شيوعًا بسبب الإصابة أثناء أو بعد الجراحة لإزالة الغدة الدرقية.
ويعتبر هذا هو العضو الصغير على شكل فراشة الموجود في الرقبة والذي يتحكم في العديد من العمليات الجسدية بما في ذلك التمثيل الغذائي ومستويات الطاقة، كما يتم رؤيته بشكل شائع بعد إدخال أنبوب التنفس، حيث يعاني واحد من كل 20.000 مريض تقريبًا من هذه المضاعفات، أو دعامة في المريء.
في الحالة الأخيرة، التي أبلغ عنها الأطباء في مستشفى ناينويلز باسكتلندا، زار المريض المستشفى وهو يشكو من آلام شديدة في الرقبة مرتبطة بالعطس، لكن لاحظ الأطباء صوت طقطقة خافت عندما تحسسوا رقبته، والتي لم يتمكن الرجل من تحريكها بشكل صحيح، وعلى إثر ذلك كشفت عمليات المسح عن تمزق صغير في القصبة الهوائية للرجل يبلغ عرضه حوالي حبة السمسم، وارتفع الضغط في الشعب الهوائية بما يصل إلى 20 مرة أعلى من المعتاد، وذلك بسبب تأثير حبس العطس.
مخاطر حبس العطس
اشتبه الأطباء في أن القصبة الهوائية مثقوبة بسبب التراكم السريع للضغط في القصبة الهوائية أثناء العطس مع أنف مقروص وفم مغلق، وفي تلك الحالة يفكر الأطباء الذين يعالجون تمزق القصبة الهوائية في إجراء عملية جراحية إذا كان المريض لا يستطيع التنفس من تلقاء نفسه أو إذا امتد التمزق إلى المساحة المحيطة بالرئتين، وهناك حاجة أيضًا إلى إجراء عملية جراحية إذا كان هناك تراكم مستمر للهواء تحت الجلد أو داخل الصدر.
تمزق القصبة الهوائية ليس هو الإصابة الوحيدة التي يمكن أن تنشأ نتيجة لخنق العطس، فقد أصيب رجل في 2018 بتمزق شديد في البلعوم، وهو أنبوب في الرقبة يساعد على التنفس وهضم الطعام، نتيجة حبس العطس.
في الحالات الشديدة، يمكن أن تؤدي تمزقات القصبة الهوائية إلى تضييق المسالك الهوائية، مما يسبب مشاكل في التنفس تهدد الحياة، من النادر أيضًا حدوث إصابة في القصبة الهوائية، وعادة ما يتم اكتشافها عندما يعاني المرضى من أعراض ضيق التنفس.


