أدوية الكوليسترول والسكر ترتبط بانخفاض خطر تمدد الأوعية الدموية في الدماغ | دراسة
وجدت دراسة جديدة، أن الأدوية الشائعة المستخدمة للسيطرة على نسبة الكوليسترول والسكر في الدم وارتفاع ضغط الدم، تقلل أيضًا من خطر الإصابة بالسكتة الدماغية، ونشرت الدراسة في مجلة علم الأعصاب.
ترتبط أدوية الكوليسترول والسكر بانخفاض خطر تمدد الأوعية الدموية في الدماغ
خلال الدراسة، قيم الباحثون خطر تمدد الأوعية الدموية في الدماغ الذي يسبب السكتات الدماغية النزفية لدى المرضى.
شملت الدراسة فحص الباحثون السجلات الطبية لما يقرب من 4900 مريض أصيبوا بسكتة دماغية نزفية، وقارنوها مع ما يقرب من 44000 شخص لم يصابوا مطلقًا بتمدد الأوعية الدموية في الدماغ.
وحدد الباحثين أربعة أدوية محددة تقلل من خطر تمدد الأوعية الدموية في الدماغ، وقد أدى دواء ارتفاع ضغط الدم lisinopril إلى خفض المخاطر بنسبة 37٪، أدى عقار الكولسترول سيمفاستاتين إلى خفض خطر الإصابة بنسبة 22%، أدى عقار الميتفورمين لمرض السكري إلى خفض خطر الإصابة بنسبة 42%، أدى عقار تامسولوسين للبروستاتا إلى خفض خطر الإصابة بنسبة 45%.
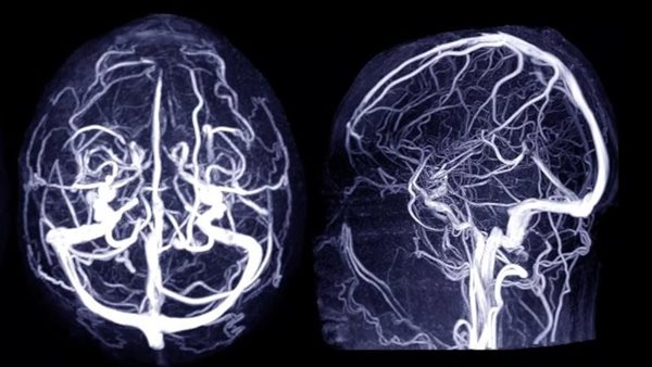
خطر تمدد الأوعية، هو انتفاخ أو تضخم في أحد الأوعية الدموية في الدماغ. وغالبًا تتخذ حالة أم الدم شكل ثمرة توت متدلية من غصن.
خطر تمدد الأوعية تتشكل وتنمو بسبب ضغط الدم المتدفق عبر الأوعية الدموية على منطقة ضعيفة من جدار الوعاء، وتزيد هذه الحالة من حجم أم الدم في الدماغ، إذا تعرضت أم الدم في الدماغ للتسرب أو التمزّق، فقد تسبب نزيفًا في الدماغ، وهو ما يُعرف بالسكتة الدماغية النزفية.
ويحدث خطر تمدد الأوعية في الدماغ غالبًا في الفراغ الواقع بين الدماغ والأنسجة الرقيقة المغطية له، ويُطلق على هذا النوع من السكتات الدماغية النزفية اسم النزيف تحت العنكبوتية.


