تمزيق الحلق.. رجل أسكتلندي يتعرض لإصابة نادرة بسبب كتم العطس
كشف خبراء الصحة البريطانية أن هناك رجلا تعرض لحالة مرضية نادرة بسبب قيامه بـ العطس نتيجة لإصابته بـ حمى القش، حيث اعتبروه أول حالة معروفة من نوعها.
رجل أسكتلندي تعرض لحالة نادرة بسبب كتم العطس
ووفقًا لما نشرته صحيفة ذا صن البريطانية، أكد الأطباء أن هناك رجلا أسكتلندي تعرض لحالة مرضية نادرة بعد عطسه المستمر نتيجة لإصابته بـ حمى القش، حيث إنه مزق ثقبًا في حلقه بعد أن عطس.
وحسبما كشف الأطباء عن المريض الأسكتلندي الذي لم يكشف اسمه، أنه تعرض إلى نوبة خنق من العطس عن طريق قرص أنفه وإغلاق فمه في أثناء القيادة، وكان الضغط الناتج عن العطس كبيرًا لدرجة أنه مزق ثقبًا بمقدار 0.08 بوصة في قصبته الهوائية واضطر إلى الإسراع إلى المستشفى.
تحذير بـ كتم العطس
وكان الرجل يعاني من ألم شديد وكان الأطباء يسمعون صوت طقطقة عندما يتنفس، على الرغم من أنه كان لا يزال قادرًا على التحدث والبلع والتنفس، وقال الدكتور راساد نيسيروفس، من جامعة دندي، إن القضية يجب أن تكون بمثابة تحذير للناس بعدم محاولة العطس.
وأضاف: يجب أن ينصح الجميع بعدم خنق العطس عن طريق الضغط على الأنف مع إبقاء الفم مغلقًا لأنه يمكن أن يؤدي إلى ثقب القصبة الهوائية، وعانى الرجل من التهاب الأنف التحسسي، وهي حالة شائعة حيث يتهيج الأنف بسبب شيء لديك حساسية تجاهه، مثل حبوب اللقاح.
ويمكن أن يسبب العطس، حكة، سيلان أو انسداد الأنف، حكة، عيون حمراء ودامعة، سعال وحكة في سقف الفم، كما أن كثير من الناس يشيرون إليها باسم حمى القش، والتي تؤثر على حوالي ربع البالغين البريطانيين، ويؤدي العطس إلى زيادة الضغط في الشعب الهوائية، لكن الاحتفاظ بها يمكن أن يتسبب في زيادة هذا التراكم بحوالي 20 مرة.
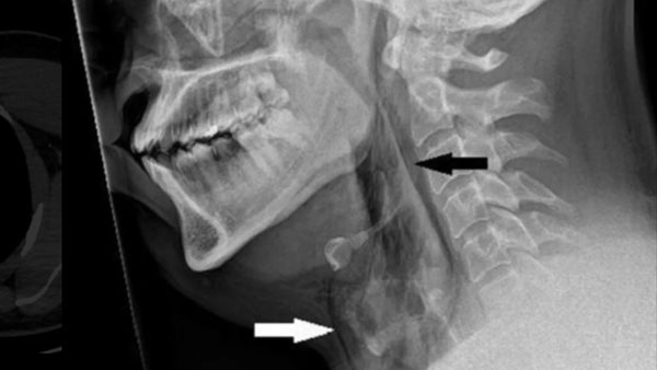
تمزيق الحلق وتورم الرقبة
وتابع الخبراء أن حالة الرجل، هي المرة الوحيدة المعروفة التي تسبب فيها هذا في تمزق في الحلق، وعندما وصل إلى قسم الطوارئ في المستشفى، كانت رقبته متورمة من كلا الجانبين وكان يكافح من أجل تحريكها.
وكشفت الأشعة السينية أنه مصاب بانتفاخ الرئة الجراحي، عندما يعلق الهواء في أعمق الأنسجة تحت الجلد، وأظهرت الأشعة المقطعية أن التمزق كان بين العظمتين الثالثة والرابعة من رقبته وأن الهواء كان يتراكم في الفراغ بين الرئتين في صدره.
وقرر الأطباء أنه لا يحتاج إلى عملية جراحية لكنهم راقبوه لمدة يومين في المستشفى للتحقق من أن مستويات الأكسجين لديه ظلت ثابتة، ثم خرجوا منه وأعطوه مسكنات للألم وأدوية حمى القش، وشفيت الدمعة في غضون خمسة أسابيع.


