وفاة مسن ياباني بعد تعرضه لعدوى بكتيرية مميتة
أصيب رجل مسن في اليابان، بعدوى بكتيرية مميتة بعد تناوله للبروبيوتيك كجزء من علاجه، عقب إصابته بعدوى فيروس كورونا الشديدة، حيث تم نقل المريض إلى غرفة الطوارئ، بعد أن عثر عليه على أرضية منزله، وكان له تاريخ طبي يشمل الإصابة بسرطان القولون، وألم في الصدر، وارتفاع ضغط الدم، وأكياس البنكرياس، كما أنه كان مدخنًا شرهًا، وفقًا لـ نيويورك بوست.
العلاج وتطورات الحالة
وعند وصوله إلى المستشفى، تبين أن الرجل مصاب بفيروس كورونا، وعولج بالكورتيكوستيرويد ديكساميثازون وعقار توسيليزوماب المثبط للمناعة، وتحسنت حالته التنفسية، لكنه أصيب بالإسهال نتيجة للأدوية، وتم إعطاؤه سلالة من بكتيريا Clostridium butyricum، والمعروفة باسم C butyricum MIYAIRI 588، لعلاج الإسهال، هذا البروبيوتيك متاح بشكل أقراص ويستخدم بشكل شائع في اليابان لعلاج الإسهال.
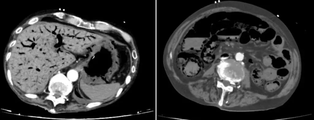
تدهور الحالة والوفاة
وعلى الرغم من تحسن حالته المبدئية، بدأت الأمور في التدهور بعد مرور حوالي 25 يومًا من خروجه من وحدة العناية المركزة، إذ بدأ يشعر بألم مستمر في المعدة، وساءت حالته بسرعة وأصيب بفشل في العديد من أعضاء الجسم، وتوفي بعد شهرين تقريبًا من دخوله المستشفى، وكان الرجل يعاني من بكتيريا الدم، بسبب تناول البروبيوتيك، بالإضافة إلى نقص تروية المساريقا غير الانسدادي، وهو حالة تتميز بانخفاض تدفق الدم المعوي.
تحليل الحالة والتوصيات
وصف الباحثون في مستشفى جامعة فوجيتا هيلث وفاة الرجل بأنها أول حالة مؤكدة للإصابة ببكتيريا الدم C butyricum المرتبطة بالبروبيوتيك بعد علاج حالة شديدة من كوفيد-19، وفي دراسة أخرى أجرتها جامعة أوساكا في اليابان، تم تحديد 5 حالات مماثلة للإصابة ببكتيريا الدم بسبب البروبيوتيك، وأشار الباحثون إلى أن البروبيوتيك يمكن أن يوفر فوائد صحية متعددة، ولكنها قد تسبب أيضًا أحداثًا سلبية نادرة ولكنها خطيرة، خاصة لدى المرضى في المستشفيات، وبناءً على ذلك، شددوا على أهمية الحذر عند وصف البروبيوتيك في مثل هذه الحالات.


