ما هو مرض الدفتيريا وأعراض الإصابة به؟
أبلغت السلطات الصحية الهندية، عن وفاة 6 أطفال بسبب مرض الدفتيريا، في ولاية راجاستان، ويعد مرض الدفتريا عدوى بكتيرية شديدة منتشرة في الجزء الشرقي من الولاية الهندية، وفقًا لما ذكره موقع تايمز ناو نيوز.
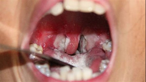
مرض الدفتيريا
وأوضحت وزارة الصحة الهندية سبب وفاة الـ 6 أطفال، حيث تأثروا بمرض الدفتيريا، ويعد مرض بكتيري تسببه بكتيريا تصيب الجهاز التنفسي العلوي، مما يسبب أضرارا بالغة في القلب والأعصاب.
وفقد عدد من الأطفال حياتهم في الشهر الماضي بسبب العدوى، وكان آخر الضحايا طفل يبلغ من العمر خمس سنوات من قرية ديج في سيكري الهندية، وأشار التقرير إلى إلقاء اللوم على ضعف تغطية التطعيم في المنطقة المتخلفة وهي الطريقة الوحيدة لمنع تفشي هذه العدوى المعدية.
حالات الإصابة بمرض الدفتيريا
وتوفيت أول حالة وفاة في الولاية في 14 سبتمبر الماضي، وعندما توفي صبي يبلغ من العمر 7 سنوات من قرية كامان بسبب المرض، ومن ثم توفي 3 أطفال آخرون في نهاية الشهر، بما في ذلك فتاة تبلغ من العمر 6 سنوات.
منظمة الصحة العالمية عن مرض الدفتيريا
وأشارت منظمة الصحة العالمية، إلى أن مرض الدفتيريا الذي تسببه بكتيريا تسمى Corynebacterium diphtheriae، ويحدث عندما تطلق سمومًا تسبب تراكم الأنسجة الرمادية في الحلق، مما يسبب مشاكل خطيرة في البلع والتنفس، وذلك في المناطق الأكثر دفئًا، كمل يصاب المصابون بالدفتيريا أحيانًا بقرح جلدية لا تلتئم وتصبح مغطاة بأنسجة رمادية، حيث يحدث هذا النوع من الدفتيريا، والمعروف باسم الدفتيريا الجلدية في الولايات المتحدة.
ويمكن أن ينتقل المرض عن طريق الرذاذ المحمل بالبكتيريا في الهواء، والذي ينتشر عن طريق العطس أو السعال أو البصق، أو حتى عن طريق لمس شيء يحمل البكتيريا، وقد ينقل الشخص المصاب المرض عن طريق جرح مفتوح يلمسه.
أعراض مرض الدفتيريا
تتضمن بعض الأعراض الشائعة لهذه الحالة ما يلي:
- ألم شديد في الحلق
- الضعف والتعب
- ارتفاع درجة الحرارة
- تورم الغدد في الرقبة.
- مشكلة في التنفس
- مشاكل في بلع الطعام
كيف يمكن الوقاية من مرض الدفتيريا ؟
ويقول الأطباء إنه يمكن الوقاية من مرض الدفتيريا عن طريق تناول اللقاح المصمم الذي يحمي من عدة أنواع من العدوى في وقت واحد، مثل السعال الديكي أوالتيتانوس.


