ملحمة طبية لأول مرة بالصعيد.. أطباء الأقصر ينجحون في إنقاذ حياة مسنة تعاني من مشكلة بالأورطى
نجح فريق جراحة الأوعية الدموية بمستشفى طيبة التخصصي بإسنا، التابع للهيئة العامة للرعاية الصحية بمحافظة الأقصر، للمرة الأولى بحنوب الصعيد، في إجراء عملية تصحيح انشطار بالشريان الأورطى بالصدر لسيدة تبلغ من العمر 78 عاما.
أطباء الأقصر ينجحون في إنقاذ حياة مسنة
وقال بيان لهيئة الرعاية، إن السيدة حضرت إلى المستشفى تعاني من ارتفاع بضغط الدم تسبب فى حدوث انشطار كلي وتمدد بالشريان الأورطى الهابط بالصدر حتى مستوى شرايين الكلى والأمعاء، مسببا لها آلاما شديدة بالصدر، وعدم القدرة على النوم بشكل طبيعي، منذرا بحدوث انفجار بالشريان الأورطى بالصدر.

وأضاف البيان: علاوة على توقف الدورة الدموية للسيدة عن بعض الأعضاء الحيوية، مثل المخ والنخاع الشوكي والكلى والكبد والأمعاء، مما قد يؤدي إلى حدوث الوفاة أو فشل في وظائف الأعضاء المذكورة، وتعرض المريضة لعدم القدرة على الحركة.
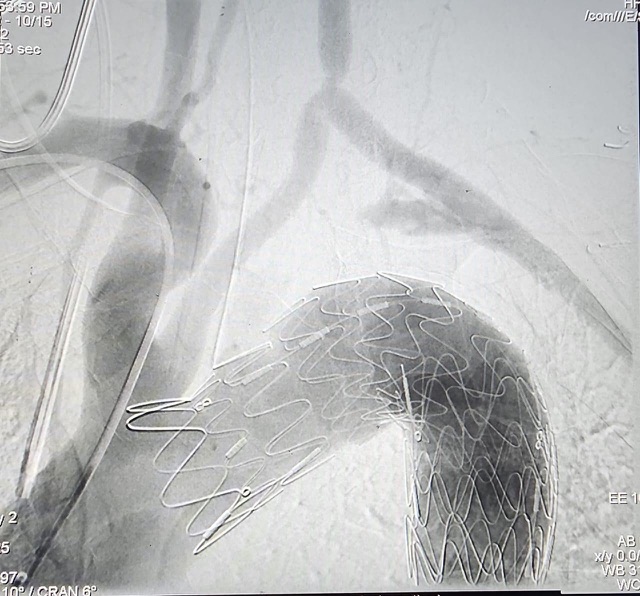
وأشار البيان إلى أنه على الفور اجتمع فريق جراحة الأوعية الدموية بالمستشفى لدراسة الحالة، وجرى تحديد الإجراءات الطبية اللازمة، وتم إتخاذ قرار اجراء الجراحة بتقنية التيفار TEVAR.

ويعد هذا النوع الحل الأمثل لتلك الحالات، ما يعني أنه يعتمد على استخدام القسطرة التداخلية، من خلال شقوق جراحية صغيرة، والتي تساعد بدورها على تخفيف ألم الصدر والأعراض الأخرى، وتم التواصل مع شركات توريد تلك الدعامات لتحديد قياسات الدعامات اللازمة للحالة بدقة وتجهيزها.

وأوضح البيان، أنه تم إجراء الجراحة للسيدة عن طريق تركيب دعامات مغطاه بالشريان الأورطى بالصدر، باستخدام القسطرة التداخلية مع توصيل الشريان السباتي الأيسر بالشريان تحت الترقوة اليسرى جراحيا باستخدام شريان صناعي.

وجرى متابعة المريضة بعد الجراحة، والاطمئنان عليها، بعد انتهاء الآلام الشديدة التي كانت تعاني منها المريضة، والمقدرة على النوم بصورة طبيعية، واستقرار الحالة العامة وتحسن الوظائف الحيوية.
يذكر أن تكلفة هذه الجراحة تتخطى الـ 800 ألف جنيه، وتم إجراءها تحت مظلة التامين الصحي الشامل، ولم تدفع المريضه أكثر من 450 جنيها.


