مستشفى الفيوم العام ينجح في إجراء جراحة نادرة لإنقاذ حياة رضيع عمره 9 أيام
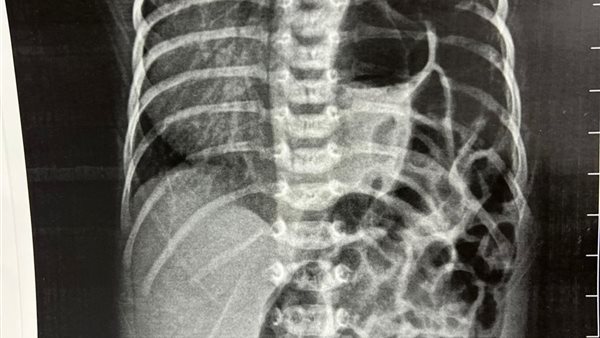
نجح الفريق الطبي بمستشفى الفيوم العام، في إجراء جراحة دقيقة ونادرة لإنقاذ حياة رضيع يبلغ من العمر 9 أيام، كان يعاني من فتق خلقي بالحجاب الحاجز (Congenital Diaphragmatic Hernia – CDH)، وذلك في إنجاز طبي يعكس مستوى الجاهزية والكفاءة داخل المستشفى.
مستشفى الفيوم العام ينجح في إجراء جراحة نادرة لإنقاذ حياة رضيع عمره 9 أيام
وجرى التنسيق السريع لاستقبال الحالة بقسم الحضانات فور وصولها، حيث تم التعامل الطبي معها وفق البروتوكولات المعتمدة، وتجهيز الرضيع لإجراء التدخل الجراحي العاجل، نظرًا لخطورة الحالة وتأثيرها المباشر على وظائف التنفس والقلب.
وأُجريت الجراحة بنجاح على يد فريق جراحة الأطفال، حيث تم التعامل بدقة بالغة مع الحالة قبل وأثناء وبعد العملية، لما تتطلبه مثل هذه الجراحات من مهارة عالية وخبرة متخصصة، خاصة في حالات حديثي الولادة.
وضم فريق جراحة الأطفال القائم على إجراء العملية كلًا من أحمد أبوالحسب، استشاري ورئيس قسم جراحة الأطفال، ومحمود مصطفى، طبيب مقيم جراحة الأطفال، بمشاركة فريق التخدير الذي تولى التعامل مع الحالة بدقة نظرًا لحساسيتها الشديدة، حيث شارك في التخدير أسامة مجدي طبيب التخدير، وبمساندة فني التخدير أميرة أحمد.
كما شارك فريق تمريض العمليات بدور محوري في نجاح الجراحة، حيث ضم كلًا من عبدالرحمن سعد، وفاطمة سمير، وأسهموا في توفير الرعاية اللازمة أثناء التدخل الجراحي.
وعقب انتهاء العملية، خضعت الحالة لمتابعة دقيقة ومستمرة داخل قسم الحضانات، حيث احتاج الرضيع إلى جهاز تنفس صناعي بعد الجراحة، وتم فصله عنه تدريجيًا وفق حالته الصحية حتى استقرت حالته بشكل ملحوظ، وبعد تحسن الحالة الصحية واستقرار المؤشرات الحيوية، تم خروج الرضيع من المستشفى، في تأكيد على نجاح التدخل الطبي والتكامل بين الفرق الطبية المختلفة.
وتُعد جراحات الفتق الخلقي بالحجاب الحاجز من أكثر الجراحات تعقيدًا في طب الأطفال، نظرًا لما تتطلبه من دقة شديدة في التشخيص والتدخل والمتابعة، وهو ما يعكس الإمكانيات الطبية المتقدمة التي يتمتع بها مستشفى الفيوم العام.









