أطباء مستشفى أشمون بالمنوفية يستخرجون "جسم غريب" من فم طفل (صور)
كايرو لايت
الأحد 28/فبراير/2021 - 01:12 م
سادت حالة من الدهشة بين أطباء وحدة العناية المركزة بمستشفى أشمون العام، التابعة لمديرية الشئون الصحية بالمنوفية، عقب وقوع واحد من أصعب المواقف عقب خروج جسم غريب من فم طفل كان يعاني من ضيق شديد في التنفس ووصل إلى حالة صعبة وتقرر إيداعه في غرفة العناية المركزة بقسم الأطفال لعمل اللازم.
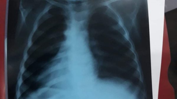
وذكر أحد الأطباء لـ"القاهرة 24" أن الطفل "أ، م، ز" وصل إلى المستشفى ويبلغ من العمر عامان ونصف، ونتيجة للكحة المستمرة والمُتعالية بشكل مثير، قرروا عمل أشعة عادية ثم مقطعية، ليتبين وجود جسم غريب في الرئة، وأثناء كحة الطفل خرج من فمه وسط حالة من الذهول بين الطاقم الطبي.
وأفاد الطبيب بأنه تم إدخال الطفل إلى وحدة العناية المركزة، وإجراء كافة الفحوصات الطبية له، حتى استعاد الطفل عافيته وخرج بسلام من المستشفى مع أسرته، ووجهوا الشكر لإدارة المستشفى عقب عمل اللازم.


