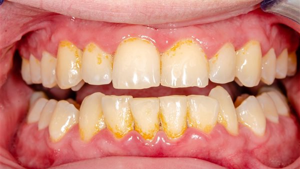
لديك الكثير من الترسبات الجيرية على الأسنان.. تعرّف على كيفية إزالتها
تتضمن بعض العلامات التي تشير إلى وجود طبقة البلاك على الأسنان رائحة الفم الكريهة واصفرار الأسنان، ونزيف اللثة.
"كمادات الماء أم استخدام المشرط؟".. إليك تفاصيل علاج خُراج الأسنان
كما ينبغي تقليل من الترسبات السنية عن طريق تنظيف الأسنان بالفرشاة والخيط مرتين يوميًا واستخدام غسول الفم المقاوم للبلاك. وعندما يتراكم البلاك، يمكن أن يسبب تسوس الأسنان، وأمراض اللثة.
وعند تناول الأطعمة السكرية أو النشوية، فإنها تختلط مع البكتيريا في الفم وتشكل طبقة ضبابية على الأسنان الذي يعرف بإسم البلاك، وعند تنظيف ترسبات الأسنان فإنها ليست مشكلة.
وهناك بعض العلامات التحذيرية التي تشير إلى أنه قد يكون هناك الكثير من البلاك وبعض أفضل الطرق لإزالتها.
ويمكن أن يتحول البلاك إلى جير بمرور الوقت، لكن الاثنين يختلفان عن بعضهما البعض، بحسب ما ذكر موقع"timenownews".
حيث تبدو اللويحة وكأنها طبقة رقيقة ضبابية على الأسنانك بينما يشعر الجير بمزيد من الخشونة والصلابة، ويمكن إزالة البلاك بنفسك عن طريق تنظيف الأسنان بالفرشاة بانتظام، لكن طبيب الأسنان فقط هو الذي يجب أن يزيل الجير بمجرد تشكله.
ويمكن أن يمنع التقاط البلاك مبكرًا من تطوير مشاكل مثل أمراض اللثة والتهابات الأسنان وحتى فقدان الأسنان.
وهناك بعض العلامات تشير إلى احتمالية إصابتك بلويحة الأسنان:-
تشعر أسنانك بأنها "مشوشة": -
يتم الشعور ان الاسنان بها بعض الفضلات عند ملامسة اللسان لها، ويمكن أن يحدث هذا غالبًا عندما تغسل الأسنان، ويستمر الشعور طوال اليوم.
رائحة الفم الكريهة: -
لأن البلاك يحتوي على البكتيريا ، يمكن أن ينتج عنه رائحة كريهة.
إصفرار الأسنان : -
عندما تتراكم البلاك على الأسنان ، يمكن أن يجعل الفيلم الأسنان تبدو باهتة بيضاء أو صفراء اللون.
تبدو لثتك حمراء ومنتفخة أو تنزف أثناء تنظيف الأسنان بالفرشاة، والكثير من البلاك يمكن أن يهيج اللثة، مما يجعلها منتفخة وتشعر بالألم، ويمكن أن تسبب اللويحات الزائدة أيضًا التهابًا في اللثة، والتي يمكن أن تشعر وكأنها ألم خفيف عميق في الفم، و يوصف بأنه قضم أو خدش.
ومع مرور الوقت إذا لم تتم إزالة البلاك، يمكن أن يتصلب في الجير، ويمكن معرفة أن لديك الجير إذا رأيت تراكمات من القشرة الصفراء أو البنية على أسنانك. وعندما يتراكم الجير تحت اللثة، فإنه يمكن أن يسبب التهابات عميقة يمكن أن تؤدي إلى فقدان واحد أو أكثر من الأسنان.
الشعور بالحساسية مع مرور الوقت، يمكن أن يتسبب البلاك في انحسار اللثة، مما قد يؤدي إلى كشف النهايات العصبية في الفم ويجعل الأسنان أكثر حساسية.
حيل طبيعية للتخلص من اصفرار الأسنان


