الأربعاء 06 مايو 2026
More forecasts: Wetter 4 wochen
رئيس التحرير
محمود المملوك
أخبار
حوادث
رياضة
فن
سياسة
اقتصاد
محافظات
محافظات

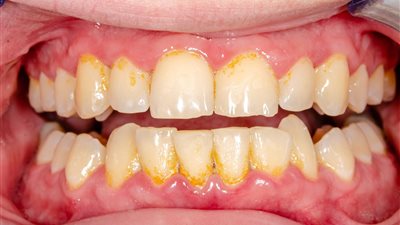
"منع السكر وتناول الفاكهة".. طرق منزلية لتبييض الأسنان بسهولة

تبييض الأسنان
كايرو لايت
تبييض الأسنان
الإثنين 22/مارس/2021 - 08:32 ص

هناك العديد من العوامل التي يمكن أن تجعل الأسنان تبدو باهتة وصفراء، و يمكن أن تتسبب بعض الأطعمة فى إتلاف المينا، وهي الطبقة الخارجية للأسنان، ويمكن أن يؤدي تراكم الترسبات على الأسنان لإن تصبح صفراء.


ويمكن معالجة تغير اللون عن طريق التنظيف المنتظم وعلاجات التبييض، حيث تبدو الأسنان صفراء اللون بسبب تآكل طبقة المينا الصلبة، وكشف العاج الموجود تحتها، والعاج هو نسيج عظمي أصفر طبيعي يقع تحت المينا.


وهناك الكثير من المنتجات التي يمكن للمرء الاختيار لتبيض الاسنان لكن معظم هذه المنتجات تحتوي على مادة التبييض التي تستخدم كعامل مبيض، وهي ليست جيدة،  وعند البحث عن طرق  لتبييض الأسنان بشكل طبيعي، وهناك 6 طرق بسيطة لتبيض الأسنان وهي:-

 
التدرب على سحب الزيت:-


سحب الزيت علاج تقليدي يحسن نظافة الفم ويزيل السموم من الجسم، وتتضمن هذه الممارسة غسل الزيت في الفم وإزالة البكتيريا التي يمكن أن تتحول إلى طبقة البلاك وتتسبب في ظهور الأسنان باللون الأصفر.


وأكثر أنواع الزيوت شيوعًا المستخدمة في سحب الزيت هي زيت عباد الشمس وزيت السمسم، ويمكن استخدام زيت جوز الهند الغني بحمض اللوريك المعروف بقدرته على تقليل الالتهاب وقتل البكتيريا.


وتشير الدراسات إلى أن سحب الزيت يوميًا يقلل من البكتيريا في الفم إلى جانب البلاك والتهاب اللثة.


ويؤدي سحب الزيت بزيت السمسم إلى تقليل بكتيريا المسؤولة عن البلاك والتهاب اللثة، وللقيام بعملية سحب الزيت، ينبغي وضع ملعقة كبيرة من زيت جوز الهند في الفم وادفع واسحبه من خلال الأسنان، ويعتبر سحب الزيت ممارسة آمنة ويمكن لأي شخص القيام به.


فرشاة مع صودا الخبز:-


صودا الخبز لها خصائص تبييض طبيعية وبالتالي فهي عنصر مهم يستخدم في معجون الأسنان، كما إنها مادة كاشطة خفيفة يمكنها تنظيف البقع الموجودة على الأسنان.


ويساعد في خلق بيئة قلوية في الفم تمنع نمو البكتيريا، ولم يثبت العلم بعد أن صودا الخبز يمكنها تبييض الأسنان، لكن الدراسات أظهرت أن معجون الأسنان الذي يحتوي على صودا الخبز له تأثير تبييض كبير.


بيروكسيد الهيدروجين


بيروكسيد الهيدروجين هو عامل تبييض طبيعي يقتل البكتيريا في الفم أيضًا. يستخدم بيروكسيد الهيدروجين منذ زمن طويل في تنظيف الجروح لقدرته على قتل البكتيريا.


ولقد وجدت الدراسات أن معجون الأسنان الذي يحتوي على صودا الخبز و 1 %من بيروكسيد الهيدروجين يمكن أن يؤدي إلى أسنان ناصعة البياض بشكل ملحوظ.


ووجدت دراسة أخرى أن معجون الأسنان الذي يحتوي على صودا الخبز وبيروكسيد الهيدروجين عند استخدامه مرتين في اليوم يمكن أن يؤدي إلى أسنان ناصعة البياض بنسبة 62 % في 6 أسابيع.


ووتجدر الإشارة إلى أن هناك بعض الأسئلة المتعلقة بسلامة بيروكسيد الهيدروجين التركيز المخفف آمن، تركيز الخيط أو الاستخدام المفرط يمكن أن يسبب حساسية الأسنان وتهيج اللثة.

 

وعند استخدام بيروكسيد الهيدروجين، ينبغي التأكد من استخدام محلول 1.5 أو 3 % لتجنب أي آثار جانبية، ويمكن أيضًا استخدامه كغسول للفم قبل تنظيف الأسنان بالفرشاة.


ويمكن مزجه مع صودا الخبز وتنظيف الأسنانك بالخليط.


تناول الفواكه والخضروات


النظام الغذائي الغني بالفواكه والخضروات مفيد للصحة العامة والاسنان، ويمكن أن تساعد الفواكه والخضروات المقرمشة والنيئة في فرك البلاك أثناء مضغها. على الرغم من أن هذا ليس بديلاً لتنظيف الأسنان بالفرشاة، والفراولة والأناناس نوعان من الفاكهة التي يُزعم أنها تعمل على تبييض الأسنان.


منع بقع الأسنان


تتحول الأسنان إلى اللون الأصفر مع تقدم العمر، يمكن منع البقع عن طريق القيام ببعض الأشياء البسيطة.
يجب تنظيف الأسنانك بالفرشاة بعد تناول أي من هذه المشروبات.


وتجنب مضغ التبغ وتدخين السجائر لأن كليهما يمكن أن يسبب تغير لون الأسنان.


والحد من تناول السكر، لأن الكثير من السكر ، يمكن أن يزيد من نمو البكتيريا ويسبب البلاك والتهاب اللثة، والتأكد من تنظيف الأسنان بالفرشاة مباشرة بعد تناول الأطعمة السكرية.


وتناول الأطعمة الغنية بالكالسيوم مثل الجبن والحليب للمساعدة في حماية الأسنان من تآكل المينا.

تابع مواقعنا