نجاح عملية ترقيع طبلة أذن دون جراحة لطفل بالبحيرة
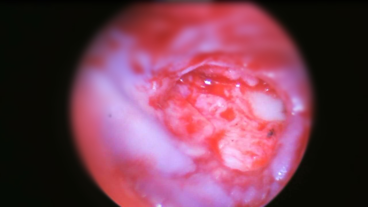
نجح فريق الأنف والأذن بمستشفى الأطفال التخصصي بدمسنا بمحافظة البحيرة، برئاسة الدكتور أحمد هشام جلال، مدرس الأنف والأذن بجامعة الإسكندرية، والدكتور محمد النجار، رئيس قسم الانف والأذن بالمستشفى، بإجراء الجراحة تحت إشراف الدكتور محمود طلحة، وكيل وزارة الصحة بالبحيرة، والدكتور حمودة الجزار، وكيل مديرية الصحة، والدكتور إيهاب بركات، مدير المستشفى، بإجراء عملية ترقيع طبلة الأذن بإستخدام المنظار الجراحى دون اللجوء إلى فتح جراحى لطفل.
اشادة محافظ البحيرة
ومن جانبه أعرب اللواء هشام آمنة، محافظ البحيرة، عن خالص شكره وتقديره للفريق الطبي الذي أجرى العملية ولإدارة المستشفى تقديرًا لمجهوداتهم ودورهم الكبير في تقديم خدمة طبية تليق بالمواطنين، مشيدا بجهود ونجاح طاقم فريق الأنف والأذن بمستشفى الأطفال التخصصي بدمسنا بأبو حمص.



العمل على خدمة المرضى
مؤكدًا على حرص الدولة بتطوير المنظومة الصحية والعلاجية فى ظل قيادة الرئيس عبد الفتاح السيسى، رئيس الجمهورية، لإنهاء قوائم الإنتظار للعمليات الجراحية لتخفيف المعاناة عن المرضى، وإنهاء قوائم الإنتظار وإتاحة الخدمة الطبية بأعلى جودة وكفاءة وفاعلية لجميع المرضى بالتساوي وفي جميع المستشفيات بمختلف أنواعها، دون تحميل المواطن أية أعباء مالية حرصًا من الدولة على توفير حياة كريمة للمواطن المصري.


