نفسي يعيش طبيعي..أب يستغيث لعلاج نجله المصاب بمرض الإسكندر النادر
تمنى الأب أن يعيش طفله الذي لم يتجاوز عمره 3 سنوات حياة طبيعية، بدون إصابته بأي مرض، لكن شاء القدر أن يعاني الصغير من مرض نادر يدعى الإسكندر، يصيب الجهاز العصبي، ومع مرور الوقت تتدهور حالة المصاب به حتى تنتهي بوفاته.
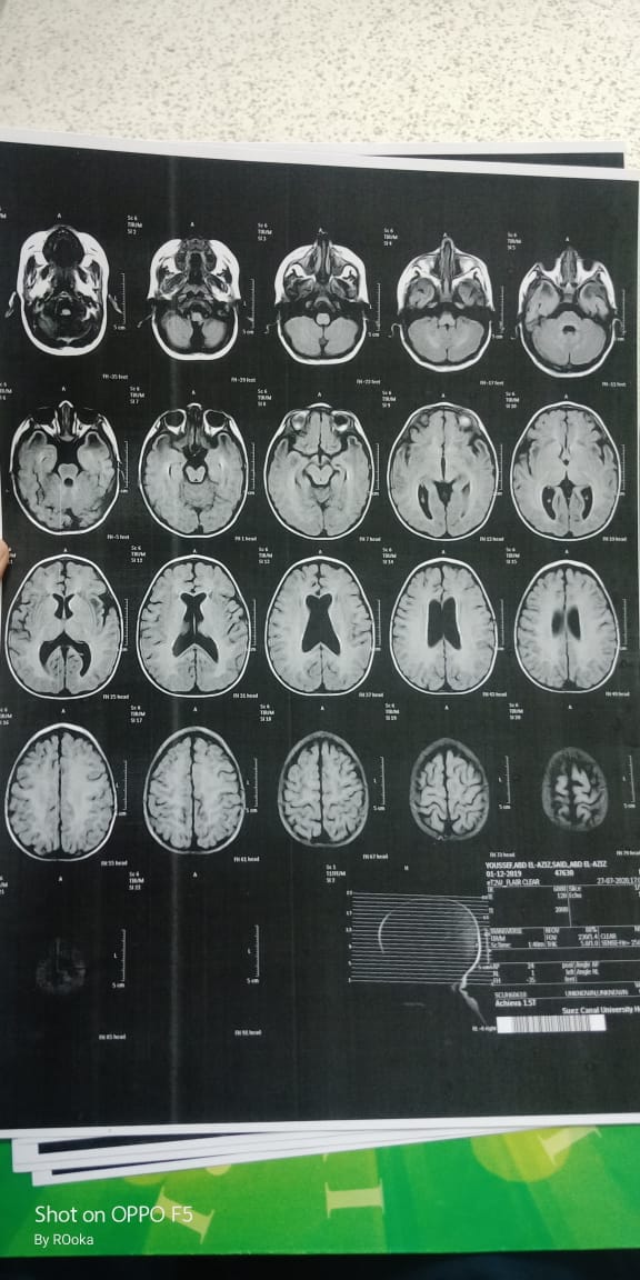
طفل مصاب بمرض نادر
يستغيث سعيد عبد العزيز، والد الطفل يوسف عبد العزيز، المصاب بمرض الإسكندر، بالمسؤولين، لعلاج نجله، من هذا المرض الغاشم المميت، قائلًا: نفسي ابني يعيش حياة طبيعية.
وأضاف عبد العزيز، في تصريحات خاصة لـ القاهرة 24: اكتشفنا مرض يوسف وهو عنده 6 شهور، طلع عنده نقص في المادة البيضاء، ونقص في الأكسجين، مع تآكل في القشرة المخية.
500 حالة فقط مصابة به في العالم
وتابع الأب: طلب الأطباء إجراء تحليل خريطة جينية، يتكلف نحو 800 يورو، ويتم إجراءه في ألمانيا، مضيفًا: عملنا التحاليل، وطلع عنده مرض الإسكندر.
وشدد عبد العزيز، أن الأطباء أكدوا أنه مرض نادر الحدوث، حيث مصاب به نحو 500 حالة فقط حول العالم.
وأشار الأب إلى أنه من مدينة الإسماعيلية، والإجراءات الطبية للطفل كانت في القاهرة، إلا أنه لم يرى أي حالات مشابهة مصابة بالمرض.
وأكد أن طفله فاقد للحركة والكلام حاليًا، مع تمدد حجم الدماغ، نتيجة معاناته من اختلالات عصبية، التي تنشأ عن المرض، معقبًا: الطفل يحتاج لجهاز طبي يساعد على تخفيف حدة الأعراض، وفقًا لاستشارة الأطباء.
لا توجد صلة قرابة بين الزوجين
وشدد عبدالعزيز على عدم وجود أي صلة قرابة بينه وبين الزوجة، منوهًا: كان عندي طفل أكبر منه لكن مات في عمر العامين، بعد إصابته بورم جيني، بالإضافة إلى طفلتين في المرحلة الابتدائية بصحة جيدة، وناشد الأب المسؤولين قائلًا: نفسي أعالج ابني، ويعيش حياة طبيعية، حالته تتدهور، ونفسي ألحقه.


