أطباء يكتشفون حلقة أنف لرجل في رئته بعد فقدانها قبل 5 سنوات | صور
وجد مجموعة من الأطباء، حلق أنف لرجل يبلغ من العمر 35 عامًا، مستقرة في رئته، بعد فقدانها لمدة 5 سنوات، وفقًا لصحيفة ديلي ميل البريطانية.
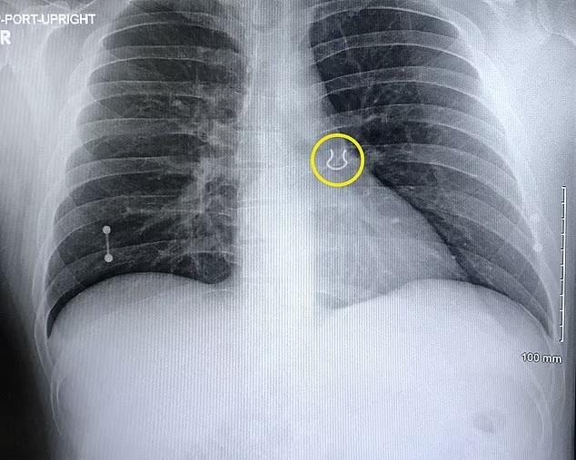
حلقة أنف في رئة رجل
واستقر حلقة الأنف في رئة الرجل، بعد أن أخذه للأشعة السينية، بسبب مخاوف من السعال الشديد كان علامة على التهاب رئوي.
وتم نقل جوي ليكينز، البالغ من 35 عامًا، إلى غرفة الطوارئ في أواخر الشهر الماضي مصابًا بسعال حاد وشعور بأن شيئًا ما كان يسد مجرى الهواء.





الحلق مغروس داخل الفص الأيسر
وخشي الأطباء أن تكون هذه علامات تحذيرية للالتهاب الرئوي، لكن الأشعة السينية أظهرت أن الحلق كان في الواقع 0.6 بوصة، التي كان يرتديها في الحاجز، مغروسة داخل الفص الأيسر العلوي من رئته.
ويعتقد ليكينز، أنه استنشق القطعة المعدنية أثناء نومه، قائلًا إنه في صباح أحد الأيام قبل 5 سنوات استيقظ ليجدها مفقودة وبعد أن قلبت غرفة نومي رأسًا على عقب، قرر أنها ضاعت واشترى أخرى.
واقترح ليكينز أنه ربما يكون قد ابتلع الجوهرة، التي كان يرتديها لمدة 3 إلى أربع سنوات قبل ذلك، أثناء نومه.
ويمكن للضربات على الأنف أن تخلخل المجوهرات وتتسبب في خروجها، في إحدى فتحات الأنف، ويمكن بعد ذلك استنشاقه من خلال تجويف الأنف، أو يسقط في الفم حيث يمكن ابتلاعه أو استنشاقه.


