ابتلع عملة معدنية.. طفل هندي يخضع لجراحة معقدة بعد إصابته بـ تمزق في المريء
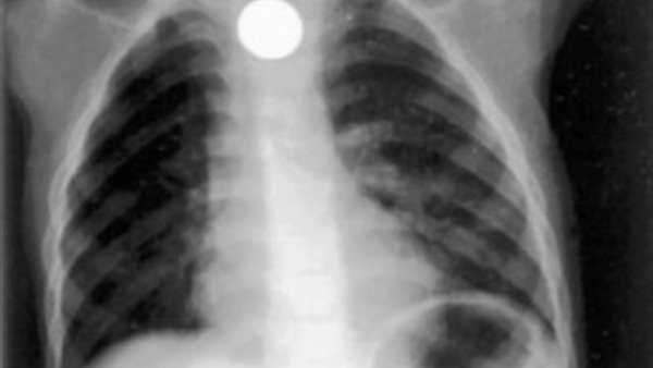
ابتلع طفل في مدينة دلهي الهندية، يبلغ من العمر 8 سنوات عملة معدنية، تسببت له في سعال متكرر وسيلان اللعاب، وأحدثت له مضاعفات خطيرة، من بينها إصابته بتمزق في المريء وكذلك تسريب في الرئتين، وفقًا لـ تايمز ناو.
طفل يبتلع عملة معدنية
ظلت العملة المعدنية عالقة في حلق الطفل، لمدة ثلاثة أيام قبل أن يتم إحضاره إلى مستشفى HCMCT Manipal في جنوب غرب دلهي، واضطر للخضوع إلى عملية جراحية معقدة.
وبحسب الصحيفة، عند تشخيص حالته وجد الأطباء أنه كان يعاني من حالة نادرة ومعقدة تسمى انثقاب المريء، أو تمزق في أنبوب الطعام، وقال الأطباء إن تلك الإصابة تسببت في تسرب في رئتيه، مما أدى إلى الانصباب الجنبي والالتهاب الرئوي القصبي.
وأجرى الدكتور سوفلا ساكسينا، استشاري أمراض الجهاز الهضمي والكبد للأطفال، عملية جراحية معقدة لإزالة العملة المعدنية من حلق الطفل الصغير، وتم إدخال أنبوب أنفي لتمرير الطعام والأدوية.
ومن جانبه، قال الدكتور ساكسينا، إن التمزق في المريء وتسرب السوائل في رئتيه جعل هذه الحالة صعبة ومعقدة للغاية، إذا لم يتم علاج الطفل في الوقت المحدد، قد يؤدي ذلك إلى وفاة أو تلف دائم في أنبوبة المريء.
وأكدت صحيفة تايمز ناو، أن الطفل بدأ في تناول الطعام عن طريق الفم، وبعد شهر من علاجه بالمستشفى، تعافى تمامًا ويذهب حاليًا إلى المدرسة بانتظام.


