نزيف بالدماغ وانفجار طبلة الأذن.. وفاة إيطالي بسبب إصابته بصواعق البرق
أفادت صحيفة ديلي ميل البريطانية بأن الفرد لديه فرصة تصل إلى واحد في المليون للإصابة بصاعقة البرق، وعلى الرغم من أن هذه الظاهرة نادرة للغاية، إلا أنها لا تزال تحدث.
وفاة رجل بسبب صواعق البرق
وشارك الأطباء في إيطاليا صورًا مروعة للإصابات المدمرة التي يمكن أن تسببها صاعقة البرق، حيث أصيب رجل بالصاعقة، وعلى الفور أصيب بسكتة قلبية وفقد وعيه، وتوفي في اليوم العاشر من الإصابة.
وكان طبيبًا يتنزه في مكان قريب من الرجل المجهول، وما إن عثر عليه حتى بدأ في الإنعاش القلبي الرئوي، ووصل المسعفون بعد 15 دقيقة، ونقلوه إلى المستشفى.
فحص الأطباء إصاباته ووجدوا منطقة سوداء صغيرة من الأنسجة المحترقة على رأسه، وقالوا إن رائحة احتراق تنبعث منه، قائلين إن البرق قد أصابه، كما عثروا على قطع بلاستيكية محترقة من خوذة دراجته على منطقة الجلد الممزق على رأسه.
وبحسب ديلي ميل، يمكن أن يتسبب البرق في درجات حرارة تصل إلى 8000 درجة مئوية في جزء من الثانية أثناء التأثير المباشر، مما يتسبب في حروق خطيرة في الجلد والشعر.
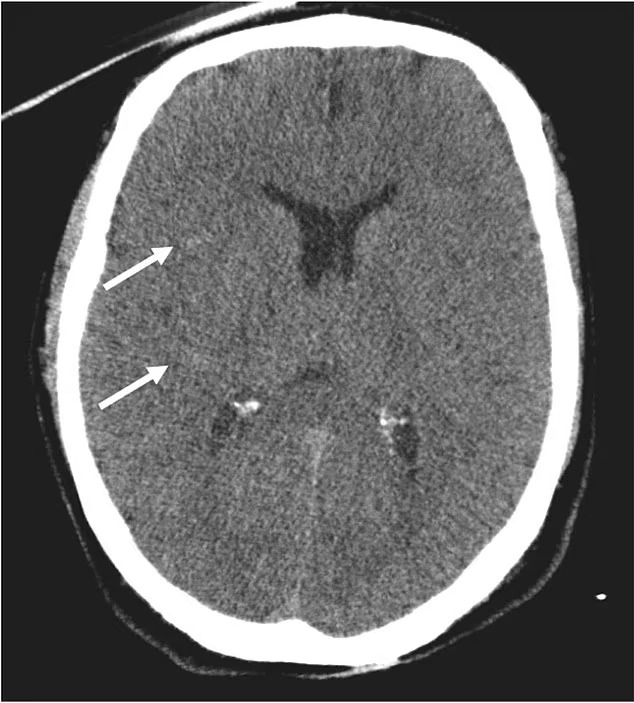
وأصيب الإيطالي بحروق في جلده وشعره ومناطق متفرقة من جسده، وهو ما يعتقد المسعفون أنه نجم عن انزلاقه على إطار الدراجة البيضاء الساخنة عندما أصيب، حيث أكدت الصحيفة أنه انفجرت لديه طبلة أذنه وكشفت الأشعة المقطعية عن نزيف في دماغه.
وأطلق نسيج عضلاته التالف بروتينات في دمه، مما تسبب في حالة طبية خطيرة تسمى انحلال الربيدات، وأدى ذلك إلى تلف خطير في الكلى.
وأجرى الأطباء عملية جراحية للرجل الإيطالي بوقف النزيف قبل أن يتوجه إلى العناية المركزة، وبعد الجراحة تم تخديره وخضع لمزيد من الفحوصات.
ساء وضع الرجل بشكل ملحوظ مع تقدم الأيام، وبينت الأشعة المقطعية وجود تلف في الدماغ، وتوفي في اليوم العاشر بعد دخوله المستشفى بسبب انخفاض تدفق الدم إلى أعضائه بسبب السكتة القلبية والنزيف.


