حالة طبية نادرة.. فحوصات تثبت حمل رجل أردني في الشهر الثاني
شهد الأردن حالة طبية نادرة عندما كشفت فحوصات طبية لمواطن أردني عن نتيجة إيجابية للحمل في الشهر الثاني، ليتفاجأ الفريق الطبي، ويعيد الفحوصات مرة أخرى وتتأكد النتائج.
ويبلغ الرجل الأردني من العمر 42 عاما، وذهب إلى الطبيب وهو يشكو من ألم في البطن، ليطلب منه طبيبه إجراء عدة فحوصات كان من بينها هرمون الحمل، والذي كانت نتائجه تعادل نتائج امرأة حامل في الشهر الثاني.
وجاءت نتيجة الفحص الهرمون لدى الرجل، 7 آلاف وحدة، بينما الطبيعي للرجل أن يكون من 1 إلى 2.
حالة مرضية نادرة لرجل أردني
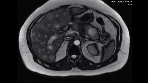
وبعد مزيد من الفحص تبين أن الرجل يعاني حالة مرضية نادرة، وزاد إفراز هرمون الحمل بسبب ورم في البنكرياس منتشر إلى الكبد، وحصل الفريق الطبي على عينات من ورم الكبد وفحصها تحت المجهر وتحت الأشعة المقطعية.
وقال الطبيب الأردني المعالج للحالة، استشاري الأمراض النسيجية الدكتور حسام أبو فرسخ، في صفحته عبر فيسبوك، إن فحص الحمل كان إيجابيا لدى رجل عمره 42 عاما، وهو الأمر الذي كان مستغربا في البداية، وبعد الفحوصات والتوثيق تبين أنها حالة مرضية.
وذكر الطبيب الأردني، أن فحص الحمل كان إيجابيا نتيجة إفراز هرمون الحمل من ورم في البنكرياس منتشر للكبد، موضحا أنه بعدما أخذ عينات من ورم الكبد تحت الأشعة المقطعية وفحصه تحت المجهر تبين أن الورم يفرز هرمون الحمل.


