طبيب أسنان يحذر: احتمالية الوفاة بسبب جير الأسنان نتيجة انتقال البكتيريا من الفم للقلب والمخ
حذر الدكتور محمد عماد، طبيب الأسنان، من خطورة تراكم الجير على الأسنان، مؤكدًا أن المشكلة لا تتعلق فقط بالمظهر أو النظافة الشخصية بل قد تتطور إلى أمراض خطيرة تهدد حياة الإنسان.
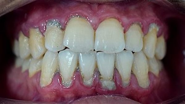
خطورة تراكم الجير على الأسنان
وقال الدكتور محمد عماد في تصريحات خاصة لـ القاهرة 24: تراكم الجير على الأسنان دي مشكلة كبيرة، لأن الجير ده طبقة بتتكون على سطح الأسنان أو على طرف الأسنان في نقطة التقائها مع اللثة، ولما بتزيد الطبقة دي بتغطي السنة كلها، الطبقة الجيرية دي بتبقى مليانة بنوع كتير من البكتيريا، وممكن تعمل إفرازات مضرة جدًا.
وأضاف طبيب الأسنان: لما بيحصل بلع للإفرازات دي أو البكتيريا بطريقة متكررة، بتعمل مشاكل كبيرة في الجهاز الهضمي، ولأن الفم بيبقى فيه أوعية دموية أو بعض القنوات الدموية اللي بتوصله بالمخ والقلب، وبالتالي الأوعية تحمل دم مليان بهذا الكم الهائل من البكتيريا للمخ وللقلب، ما يؤدي إلى مشاكل كبيرة جدًا ممكن تنتهي بالوفاة.
علاقة الحمى الروماتيزمية وخطورة تنظيف جير الأسنان
وأشار إلى أن الشخص إذا كان مريضًا بـ الحمى الروماتيزمية، فإن وجود الجير المتراكم على الأسنان والبكتيريا، يؤدي إلى حدوث التهاب في صمامات القلب والتهاب في عضلة القلب، ما قد يؤدي لوفاة هذا الشخص، مؤكدًا ترابط حالات تنظيف الجير بأمراض القلب والوفاة.
جدير بالذكر، شهدت منطقة البدرشين بمحافظة الجيزة في 2024، وفاة الشاب محمود زهران الطويل صاحب الـ25 عامًا، بعد تعرضه لنزيف حاد خلال تنظيف أسنانه في عيادة طبية، وذلك قبل أسابيع من زفافه على خطيبته أمنية الشريف.


