تهدد البشرية.. تحذير طبي من فطر قاتل بعد إصابة نادرة في الإمارات
حذر أطباء من انتشار عدوى فطرية قاتلة تُعرف باسم المبيضات أوريس (C. auris)، وُصفت من قبل منظمة الصحة العالمية بأنها تهديد خطير للبشرية، وذلك عقب إصابة رجل في الإمارات بالفطر الذي هاجم دماغه.
فطر قاتل مقاوم للأدوية بعد إصابة نادرة في الإمارات
وحسب ما نشرته صحيفة ديلي ميل البريطانية، تُعد المبيضات أوريس واحدة من 19 فطرًا قاتلًا مدرجًا في قائمة منظمة الصحة العالمية، حيث تنتشر في المستشفيات حول العالم وتُظهر مقاومة متزايدة للأدوية القليلة الفعالة ضدها، وترتبط العدوى بمعدلات وفيات تصل إلى حالة من كل ثلاث حالات.
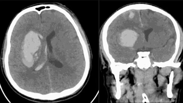
كما أن الحالة التي أبلغ عنها مستشفى صقر في رأس الخيمة تعود لرجل يبلغ من العمر 34 عامًا، أصيب بعدوى الفطر بعد نحو ثلاثة أشهر من تعرضه لإصابة دماغية في حادث سير، ونُقل المريض إلى العناية المركزة وهو يعاني من نزيف حاد في الدماغ وجروح عميقة في فروة الرأس، وخضع لجراحة عاجلة لتخفيف الضغط عن الدماغ.
بعد سلسلة من العمليات والعلاجات بالمضادات الحيوية، أظهرت الفحوص في اليوم الـ99 من دخوله المستشفى إصابته بـC. auris، ونجح الفريق الطبي في القضاء على العدوى باستخدام مزيج من العلاجات المضادة للفطريات على مدى عدة أسابيع، ليغادر المريض المستشفى بعد سبعة أشهر من العلاج.
مضادات الفطريات تزيد من مقاومة العلاج
وحذر الأطباء من أن الإفراط في استخدام مضادات الفطريات، سواء في المجال الطبي أو الزراعي، ساهم في زيادة مقاومة هذا الفطر للعلاج، مما يقلل من فرص السيطرة على العدوى، ويُعد الأشخاص ضعيفو المناعة أو من قضوا فترات طويلة في المستشفى أو تلقوا رعاية صحية في الخارج الأكثر عرضة للإصابة.
وتم اكتشاف المبيضات أوريس لأول مرة عام 2009 في أذن مريض ياباني، وانتشرت منذ ذلك الحين في أكثر من 40 دولة، ويصعب السيطرة عليها لكونها قادرة على البقاء لفترات طويلة على الأسطح والمعدات الطبية، وحتى على جلد الإنسان دون أعراض، مما يسهل انتقالها بين المرضى.
وتُصنف منظمة الصحة العالمية الفطر ضمن مسببات الأمراض الفطرية ذات الأولوية القصوى، محذرة من خطورة انتشاره، خاصة في ظل قلة العلاجات الفعالة وتزايد حالات المقاومة الدوائية حول العالم.


