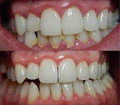
علاج التهاب اللثة وانتفاخها في المنزل.. أحذر الوصفات المجربة
ربما لا يعترف الكثير من الأطباء بعلاج التهاب اللثة وانتفاخها في المنزل، حيث يطلق عليه الطب البديل وهذا ما يرفضه العلم، خاصة وأنه ليس قائم على أبحاث علمية ولكن من وصفات مجربة، فربما يأخذ فرد جرعة زائدة من أحد الزيوت يكون تركيزها مرتفع يؤثر على صحة المريض، لذا لابد من استشارة الطبيب حول كل وصفة تعرض، فربما تكون خطر.
علاج التهاب اللثة وانتفاخها في المنزل
وعن علاج التهاب اللثة وانتفاخها في المنزل، فإن أطباء الأسنان دائما ما يحذرون من عدم تنظيف الأسنان، فهي تكون عبارة عن تنظيف اللثة والأسنان من الجير، وتتم كل 6 أشهر أو سنة، ولكن في حالة كان الشخص يعاني من التهاب اللثة فهنا ينصح الأطباء باتباع الخطوات التالية:
- الغرغرة بالماء والملح الدافئ
- يتم غسل الأسنان بواسطة فرشاة ناعمة
- زيارة الطبيب في أقرب وقت من أجل وصف مضاد حيوي مناسب للتخلص من الالتهاب.
علاج التهاب اللثة سريع المفعول
يهتم الكثير بالبحث عن علاج التهاب اللثة سريع المفعول، فهناك العديد من الوصفات الطبيعية التي ربما يتبعها البعض يصفها طبيب الأسنان عندما تشتد الآلام، فهي تساعد على التخلص من البكتيريا المسببة التهاب اللثة ومن ضمن هذه الوسائل ما يلي:
- يمكن المضمضة بالماء والملح الدافئ لمدة دقيقة على أن تكرار هذه الوصفة 3 مرات يوميا
- يمكن وصف مضاد حيوي مثل البنسلين أو أقراص الدوكسيسيكين أو كبسولات المينوسيكين.
- يقوم الطبيب فيما بعد بتنظيف اللثة بشكل عميق عند طبيب الأسنان.
- يمكن استخدام غسول فم يساعد على تطهير الفم وتسكين الآلام.
- كما يمكن وضع زيت القرنفل ودهان به اللثة فهو يساعد على التخلص من الالتهاب.
- وكذلك يمكن تدليك اللثة بالعسل الطبيعي لمدة 10 دقائق عندما تشعر بالآلام.
- ويمكن أيضا خلط العسل مع الليمون ووضعه على اللثة.

علاج التهاب اللثة حول الضرس
أما إذا كنت تريد علاج التهاب اللثة حول الضرس، فيجب أولا تحديد السبب، ومن ضمن أسباب التهاب اللثة يكون أما هناك ضرس مغروس وهنا يحتاج إلى تدخل طبيب من أجل عمل شق في اللثة بحيث ينمو الضرس بشكل طبيعي، كما ربما يكون السبب تسوس الأسنان الذي يتسبب في تورم اللثة والتهابها، لذا سيكون هناك لكل سبب علاج مختلف، وهذا ما سوف نوضحه فيما يلي:
- إذا كان السبب تراكم البلاك على الضرس فإن هذا سيؤدي إلى التهاب اللثة ومن ثم فإن العلاج سيكون تنظيف الأسنان مع ضرورة غسلها جيدا.
- أما إذا كان السبب ترميم الأسنان غير ملائم للمريض فهذا يتسبب إلى تهيج اللثة ومن ثم يكون من الصعب إزالة البلاك ويكون العلاج هو تدخل الطبيب.
- ولكن إذا كان السبب أن الضرس مغروس فإن الحل هو عمل شق في الأسنان من أجل إظهار الضرس أو الأسنان.

علاج التهاب اللثة الحاد
وإذا كان المريض يعاني من التهاب حاد، فإن علاج التهاب اللثة الحاد، يكون من خلال المضمضة بواسطة محلول ماء وملح دافئ لمدة نصف دقيقة، فهذا يساعد على التخلص من آلام اللثة، كما يمكن المضمضة بواسطة محلول يساعد على التخلص من الالتهابات.
- احرص على غسل الأسنان جيدا بواسطة فرشاة ناعمة مناسبة للأسنان.
- يحظر تجريح اللثة أثناء غسل الأسنان فيجب لمسها بلطف حتى لا يحدث أي نزيف أو التهاب اللثة.
- يفضل عمل تنظيف الأسنان كل 6 أشهر على الأقل من أجل إزالة الجير الذي يكون سببا في التهاب اللثة الحاد.
- كما يمكن عند الإصابة بالتهاب اللثة وضع زيت قرنفل على قطعة قطن ومسح بها اللثة.
علاج التهاب اللثة وانتفاخها من الصيدلية
أما عن علاج التهاب اللثة وانتفاخها من الصيدلية، فهناك العديد من أنواع الأدوية التي تكون فعالة في علاج التهاب اللثة ومن ضمن هذه الأدوية ما يلي، مع ضرورة استشارة طبيب الأسنان فهو لديه القدرة فقط على وصف الدواء المناسب وطريقة العلاج التي تناسب حالة المريض، ومن ضمن وسائل العلاج ما يلي:
- هناك جل للفم واللثة وهو إن بى إف يتم دهان به اللثة.
- كما يوجد جيل أيضا دكتارين يساعد على التخلص من التهاب اللثة.
- وهناك جل مضاد للالتهاب وهو نيوسيملي ويجب استشارة الطبيب أولا.
- كما يوجد ناتور زيت القرنفل تدهن به اللثة ولكن يجب استشارة طبيب الأسنان.
- وهناك مرهم وجل جينجيل يوضع على اللثة مباشرة.

علاج التهاب اللثة بالليمون
ربما يبحث البعض عن علاج التهاب اللثة بالليمون، فهو يكون ضمن وسائل العلاج البديل، والتي يرفضها أغلب الأطباء، نظرا للمضاعفات التي ربما تحدث، لذا يجب استشارة الطبيب أولا قبل استخدام أي وسيلة من وسائل الطب البديل، وإليكم خطوات علاج التهاب اللثة بالليمون.
- 3 قطرات من زيت عشبة الليمون
- كوب ماء دافئ
- يخلط زيت عشبة الليمون في كوب ماء دافئ
- ثم يتم مضمضة بالغسول لمدة نصف دقيقة.


