لا تفقد أسنانك.. علاج التهاب اللثة المثالي في المنزل بوصفات سهلة
قد يكون علاج التهاب اللثة أسهل مما نتصور وبإجراء واحد، وقد يكون أصعب مما نتوقع وبإجراءات معقد وشديدة الألم، فاللثة هي عبارة عن نسيج رخو ثابت لا ينمو ولا يتم تعويضه ولكنه يتشكل مدعومًا بجذور الأسنان وعظام الفكين وتتراجع بتراجعهما، لذلك من المهم معرفة طرق العناية باللثة لمنع فقد أجزاء منها وللحفاظ على صحة الفم ككل وتماسك الأسنان وعدم فقدها.
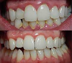
علاج التهاب اللثة
يعرض القاهرة 24 عدة حلول من أجل علاج التهاب اللثة في المنزل وبدون ترك الحالة تتدهور مسببة فقدان الأسنان أو استمرار الألم غير المحتمل، ويجب العلم بأن التهاب اللثة هو حالة شائعة تصيب اللثة وتؤدي إلى احمرار وتورم ونزيف، ويمكن أن يكون الالتهاب خفيفًا أو شديدًا، وقد يؤدي إلى مشاكل أكثر خطورة، مثل فقدان الأسنان.
وتتعدد طرق علاج التهاب اللثة، حيث تتوقف على مدى تدهورها أو سبب التهابها، وفيما يلي أشكال العلاج المختلفة بحسب درجة وسبب الإصابة:
- في الحالات البسيطة: المضمضة بالماء والملح لمدة 30 ثانية مرتين أو ثلاثة يوميًا، واستخدام الأعشاب مثل الكركم، والقرنفل، والمرة.
- في الحالات متوسطة الإصابة: استخدام المضادات الحيوية مثل البنسلين، أو المينوسيكين، أو الدوكسيسيكين، والتنظيف العميق للثة عند طبيب الأسنان.
- في الحالات المتأخرة: جراحة ترقيع اللثة، وزراعة الأسنان.

علاج التهاب اللثة سريع المفعول
يعتمد علاج التهاب اللثة سريع المفعول على سبب التهاب اللثة، فهناك حالات يمكن علاجها بخطوات سهلة وسريعة وأخرى لا تستجيب إلا بعد إزالة طبقة البلاك المتراكمة حول اللثة.
وتتعدد أسباب التهاب اللثة، منها:
- تراكم البكتيريا: تتراكم البكتيريا في طبقة رقيقة على الأسنان تسمى البلاك وإذا لم يتم تنظيف البلاك، يمكن أن يتصلب ويشكل طبقة أكثر صلابة تسمى الجير يؤدي إلى التهاب اللثة.
- عادة جز الأسنان أو الضغط على الأسنان.
- غسل الأسنان بقوة أو بشكل خاطئ او استخدام فرشاة أسنان قاسية.
- تناول الأطعمة القاسية مثل المكسرات المحمصة والأطعمة التي تترك بقايا بين الأسنان مثل الفشار.
- أمراض المناعة: مثل التهاب المفاصل الروماتويدي.
- الحمل: قد تواجه بعض النساء التهاب اللثة أثناء الحمل.
- التدخين: يزيد من خطر الإصابة بأمراض اللثة.
- بعض الأدوية: قد تؤدي بعض الأدوية، مثل أدوية ارتفاع ضغط الدم، إلى التهاب اللثة.
وفيما يلي أسرع علاج لالتهاب اللثة البسيط:
- عند تنظيف الجير لدى طبيب الأسنان فإن التهاب اللثة سيزول في الحال.
- المضمضة بمحلول ملحي دافئ يزيل الالتهاب في الحال.
- مسح اللثة بقطنة عليها نقطتين زيت قرنفل أو لوز لمدة نصف ساعة ثم شطف الفم بالماء.
- استخدام خيط الأسنان بعد الوجبات للتخلص من الطعام الملتصق بين الأسنان.

علاج التهاب اللثة بالأعشاب
هناك عدة حلول من أجل علاج التهاب اللثة بالأعشاب التي أثبتت جدوى في تحسين حالة اللثة وتخفيف الألم وتورم اللثة، ومنها ما يلي:
1-القرنفل
أثبتت ثمار القرنفل أو زيت القرنفل مفعولا قويا وفعالا في علاج مشاكل الأسنان واللثة، ويعمل وضع حبة قرنقل واحدة بين الأسنان على تسكين فوري للألم وتقليل التورم.
2- الشاي الأسود
وضع أكياس الشاي الأسود الباردة على اللثة لمدة 5 دقائق يقلل التورم والألم بفاعلية.
3- الزنجبيل
يؤدي شرب الزنجبيل بدون سكر على تحسين حالة التهاب اللثة وكذلك تطبيق زيت الزنجبيل على اللثة لمدة 15 ساعة ثم شطف الفم.
4- الشاي الأخضر
يعمل الشاي الأخضر على تسكين الألم عند تناوله، كذلك وضع اكياس الشاى الأخضر على اللثة يخفف التورم.
5- زيت شجرة الشاي
عمل مضمضة من 3 قطرات من زيت شجرة الشاي والماء الدافئ 3 مرات يوميا يعالج التهاب اللثة.
6- الصبار
أثبتت الدراسات العلمية أن هلام الصبار له القدرة على علاج التهاب اللثة خاصة عند استخدامه بديلا لمعجون الاسنان التجاري أو تخفيفه بالماء واستخدامه كغسول للفم 3 مرات يوميا، فإنه يقلل وجود بكتيريا اللثة.
7- ورق الجوافة
استخدام مغلي ورق الجوافة كغسول فموي 3 مرات في اليوم يعمل على علاج التهاب اللثة والتخلص من البكتيريا المسببة لتكون الجير.

أفضل مرهم لعلاج التهاب اللثة
قد يلجأ البعض لاستعمال أفضل مرهم لعلاج التهاب اللثة من الصيدلية، كعلاج سريع المفعول، ففي الحالات الحادة او التورم الشديد، وبجانب العلاجات المنزلية، يمكن الاستعانة بأحد الخيارات التالية:
- أوراكيور جل: من أشهر المراهم المخصصة لالتهاب اللثة وهو يعمل على تخدير اللثة وتقليل الالتهاب.
- جوجل أورال جل: مستخلص من زيت الجوجوبا وهو مرهم مخصص لعلاج التهاب اللثة لاحتوائه على الليدوكين.
- داكاترين جل: يحتوي على مادة ميكونازول المضادة للفطريات.
- بيريوكين: مرهم مقاوم للجير ويخفف أعراض التهاب اللثة.

علاج التهاب اللثة وانتفاخها في المنزل
من المهم اتباع تعليمات علاج التهاب اللثة وانتفاخها في المنزل من أجل التحسن وسرعة الشفاء وعدم تطور حالة الالتهاب، وهي كالتالي:
- تنظيف الأسنان بالفرشاة مرتين يوميًا لمدة دقيقتين على الأقل
- استخدام خيط تنظيف الأسنان مرة واحدة يوميًا
- زيارة طبيب الأسنان بانتظام لتنظيف الأسنان
- استخدم فرشاة أسنان ناعمة
- غيّر فرشاة أسنانك كل 3 أشهر
- اختر معجون أسنان يحتوي على الفلورايد
- استخدم غسول الفم
- قلل من تناول الأطعمة السكرية
- توقف عن التدخين
- تنظيف الأسنان بالفرشاة مرتين يوميًا لمدة دقيقتين على الأقل
- استخدام خيط تنظيف الأسنان مرة واحدة يوميًا.

مضاعفات التهاب اللثة
تتمثل أهم مضاعفات التهاب اللثة في التأثير على وضع الأسنان وأيضًا التأثير السلبي على بعض أعضاء الجسم ليصبح الالتهاب أكثر خطورة من مجرد تورم وألم مثل:
- أمراض اللثة المتقدمة: يمكن أن تؤدي أمراض اللثة المتقدمة إلى فقدان الأسنان.
- أمراض القلب: قد يرتبط التهاب اللثة بزيادة خطر الإصابة بأمراض القلب.
- السكري: قد يزيد التهاب اللثة من خطر الإصابة بمرض السكري.
- مشاكل الحمل: قد يزيد التهاب اللثة من خطر الإصابة بمضاعفات الحمل، مثل الولادة المبكرة.


