السبت 06 ديسمبر 2025
More forecasts:
Wetter 4 wochen
facebook
twitter
youtube
instagram
Threads
rss feed
رئيس التحرير
محمود المملوك
رئيس التحرير
محمود المملوك
الرئيسية
أخبار
حوادث
اقتصاد
فن
رياضة
سياسة
محافظات
ثقافة
مقالات
المزيد
البحث
أخبار
حوادث
رياضة
فن
سياسة
اقتصاد
محافظات
عاجل
رقصوا بالملابس الداخلية.. إحالة 6 موظفين بحي مصر القديمة للمحاكمة التأديبية| خاص
مجموعة مصر| الأردن يضرب الكويت بثلاثية ويتأهل إلى ربع نهائي كأس العرب
الرئيسية
قسطرة علاجية
قسطرة علاجية
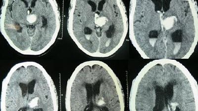
لأول مرة في مستشفيات الدقهلية.. عمل قسطرة علاجية لسحب جلطة بالمخ لسيدة تبلغ من العمر 70 عامًا
الأربعاء 11/06/2025 11:48 ص
شقيق مصاب بنزيف في المخ يستغيث لطلب قسطرة علاجية على المخ
الإثنين 09/01/2023 12:36 ص
تضامن الغربية: إجراء 50 عملية جراحية وقسطرة علاجية للحالات الأولى بالرعاية
الثلاثاء 17/05/2022 01:06 م
طالب بمدرسة WE يشكو لوزير الاتصالات من سرعة الإنترنت.. والوزير يرد: ننفذ الفايبر لحل المشكلة| فيديو
02:45 م
أسرة رضا ندا في دمنهور تستغيث: سافر ليبيا عشان يشتغل ومش عارفين عنه حاجة| بث مباشر
02:29 م
نشوب حريق داخل عقار بمنطقة التوفيقية في وسط البلد | فيديو
02:18 م
المزيد من
الأكثر مشاهدة
مجموعة مصر| الأردن يضرب الكويت بثلاثية ويتأهل إلى ربع نهائي كأس العرب
القنوات الناقلة لمباراة الكويت والأردن بث مباشر اليوم في كأس العرب 2025|مجموعة مصر
قمة نارية.. مشاهدة بث مباشر مباراة المغرب وعمان اليوم في كأس العرب عبر القنوات الناقلة
لقاء ناري.. مشاهدة مباراة الجزائر والبحرين بث مباشر والقنوات الناقلة في كأس العرب
القنوات الناقلة لمشاهدة مباراة أرسنال وأستون فيلا بث مباشر اليوم في الدوري الإنجليزي 2025/2026
موعد برنامج دولة التلاوة والقنوات الناقلة.. شاهد حلقة اليوم في هذه الأوقات
مشاهدة نتائج قرعة كأس العالم 2026 مباشر لحظة بلحظة.. مجموعة منتخب مصر في المونديال
متسابقون من 70 دولة.. وزير الأوقاف يتفقد لجان المسابقة العالمية الـ 32 للقرآن الكريم
الرئيسية
أخبار
حوادث
اقتصاد
فن
رياضة
سياسة
محافظات
ثقافة
مقالات
فيديو
صحة وطب
البومات الصور
تقارير وتحقيقات
كايرو لايت
دين وفتوى
تعليم
سيارات
خدمات
facebook
twitter
youtube
instagram
Threads
rss feed